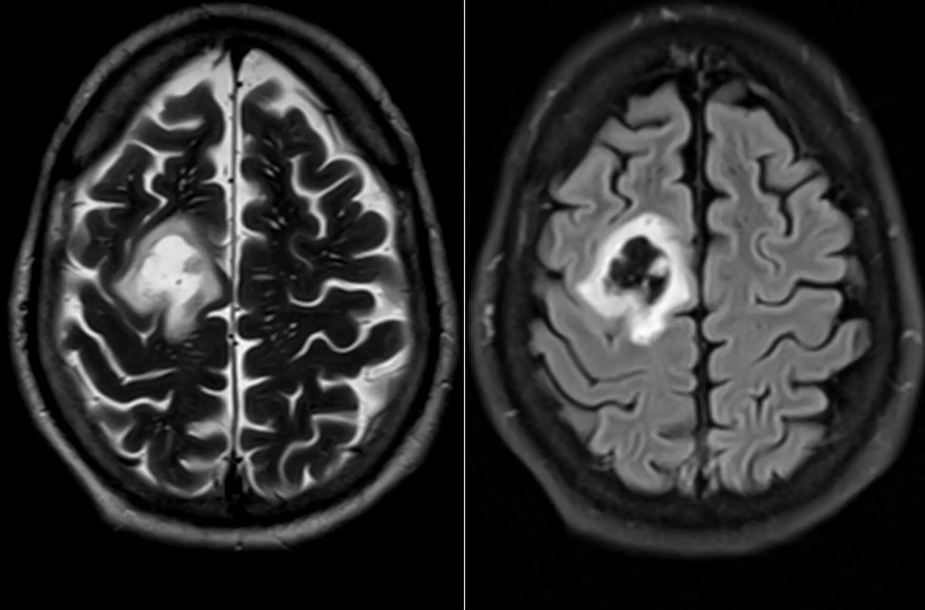
Клинический случай кавернозной мальформации, ассоциированной с венозной аномалией развития (ВАР). Следует напомнить, что ВАР часто сочетаются с каверномами, однако точные статистические данные не привожу, чтобы простимулировать самостоятельный поиск информации и закрепление знаний. Клиническая симптоматика у данного пациента отсутствует, что является типичным сценарием для подобных находок. Диагноз установлен случайно.
❗️1⃣3⃣0⃣0⃣❗
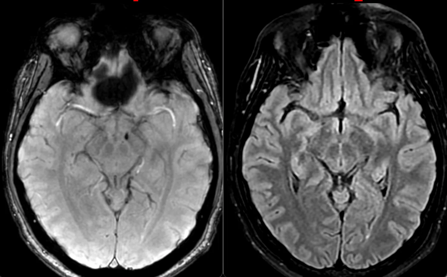
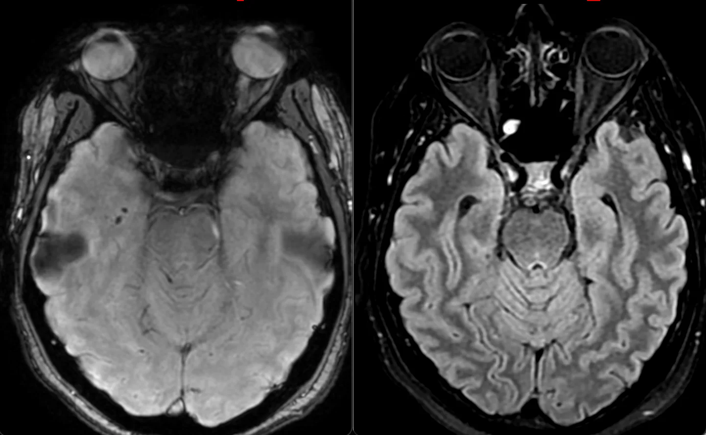
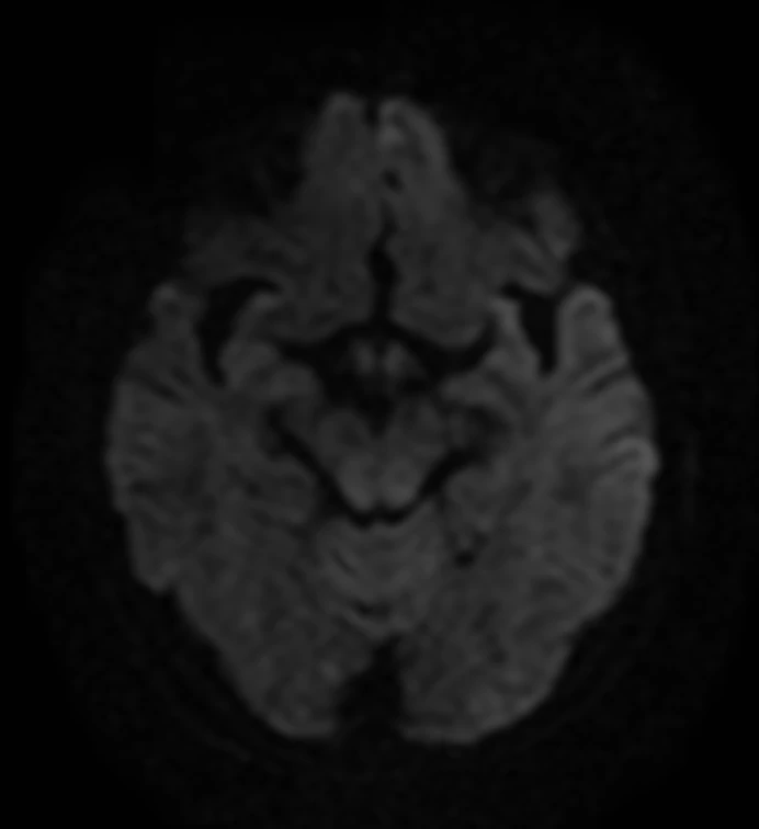
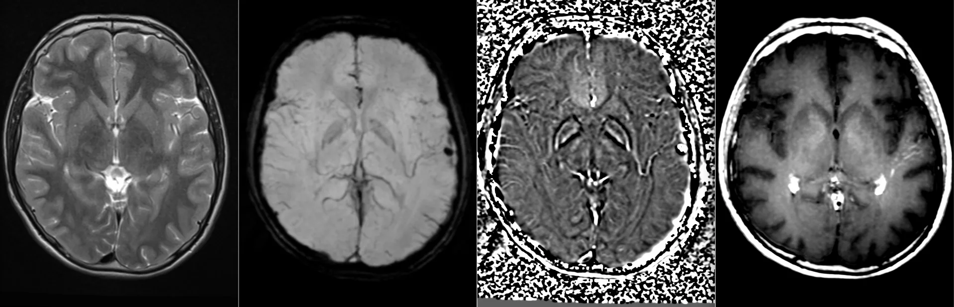
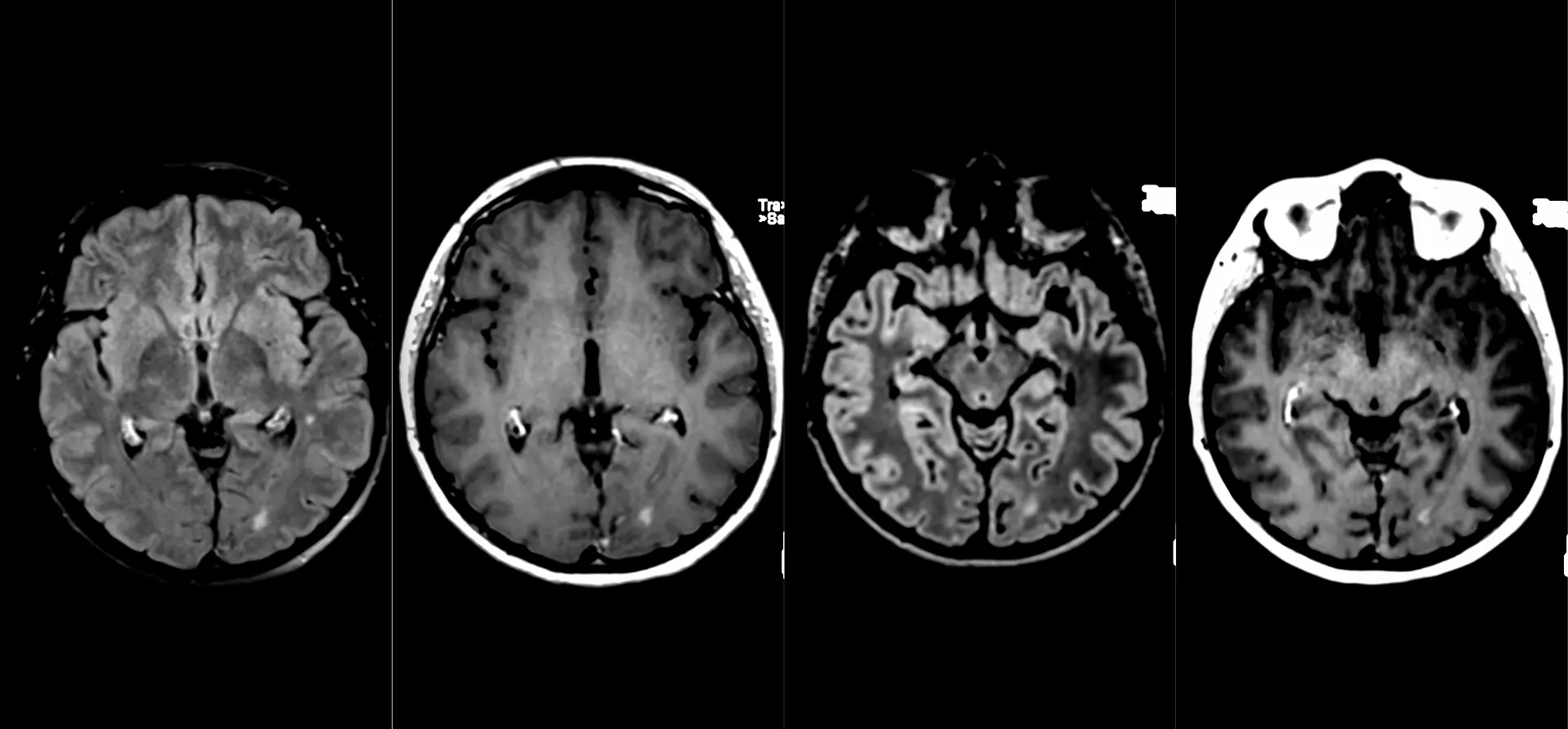
Женщина 32 года. Больной считает себя с 2024 г, когда стала отмечать онемение угла рта. Со слов пациентки ей был предварительно выставлен диагноз - РС, но дополнительных методов обследования и специфического лечения не проводилось. В настоящее время жалоб нет. В исследовании от октября 2024 отмечался очаг в левой затылочной доле с выраженным контрастированием, в настоящее время этот же очаг отмечается с сохраняющимся контрастированием. Формально - есть выполнение критериев диссеминации и в пространстве (юкстакортикальный и перивентрикулярный очаги есть), и во времени (есть усиливающиеся и неусиливающиеся очаги), клиника тоже вполне укладывается. Но! Найти в литературе подобных случаев мне не удалось, видел сам и максимум, что находил в литературе - полгода контрастирования. Получается, мы имеем дело с крайне атипичным рассеянным склерозом, или это не рассеянный склероз. А тогда что? Сосудистая мальформация не вариант - на SWI не видать. Какая-то ганглиоглиома? А другие очаги тогда что? Есть соображения? Кстати, диффузия стойко повышенная, и на б1000 почти не видно (изо). На Т2 не меняется
Вот такие плечики у пациента 29 лет! Во время эпидемии COVIDa-19 перенёс тяжёлую форму, лечили, в том числе, высокими дозами кортикостероидов, так что остеонекроз, который мы имеем возможность видеть в головках плечевых костей, по всей видимости, развился, как осложнение этого вида терапии. Хотя, при этой инфекции возникает ещё и гиперкоагуляция, которая и сама по себе является фактором риска развития некроза костей. В литературе такие случаи описаны и известны, есть описания развития остеонекроза даже четырёх костей одновременно (головок бедренных и плечевых костей), причём, развился он аж через полгода после окончания терапии. В нашем случае справа некроз привед к фрагментации головки плеча. Понятное дело, что функции плечевых суставов нарушены, в том числе, за счёт развития грубого вторичного артроза. Видимо, тотальная артропластика потребуется...
Христос воскресе, дорогие братья и сестры! Ад побеждён и смерть исчезла! Страх побеждён и любовь возобладала! Любви вам всем истинной и мудрости нелицемерной, добродетелей и совершенства милостью Божьей. С праздником!
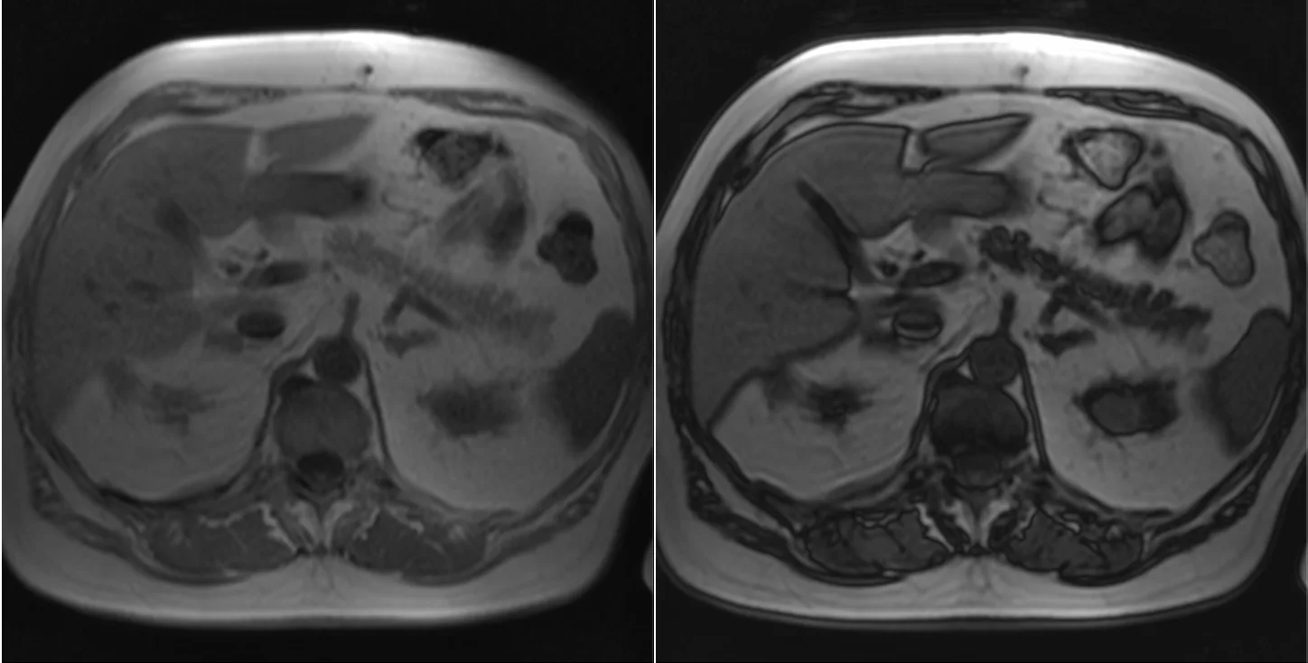
Красивый пример ожирения (стеатоза) поджелудочной железы: на скане вода-жир в противофазе имеется резкое падение сигнала её паренхимы. Интересно, что значимого ожирения печени у пациента нет. Хотя изолированный стеатоз поджелудочной железы встречается, имеющиеся данные свидетельствуют о том, что это - нетипично. Существует связь между ожирением поджелудочной железы и метаболическим синдромом и это означает, что у большинства пациентов с таким диагнозом также наблюдается или со временем развивается ожирение печени или другие метаболические нарушения, в рамках метаболического синдрома. Однако в одном исследования было обнаружено, что до 1/4 всех случаев стеатоза панкреас не совпрвождаются таковым в печени, авторы делают вывод, что
"неалкогольная жировая болезнь печени не всегда сопровождается неалкогольным стеатозом поджелудочной железы. Несмотря на выраженный стеатоз поджелудочной железы, более чем в четверти случаев эхогенность печени была в норме. Частота инсулинорезистентности при неалкогольной жировой болезни печени была незначительно выше, чем при неалкогольном стеатозе поджелудочной железы (p=0,694). Значительно более высокая частота желчнокаменной болезни при неалкогольном стеатозе поджелудочной железы требует проведения дальнейших масштабных исследований. Несоответствие степени стеатоза печени и панкреас в более чем 50% случаев может отражать различия в патофизиологии этих двух клинических проявлений.
"неалкогольная жировая болезнь печени не всегда сопровождается неалкогольным стеатозом поджелудочной железы. Несмотря на выраженный стеатоз поджелудочной железы, более чем в четверти случаев эхогенность печени была в норме. Частота инсулинорезистентности при неалкогольной жировой болезни печени была незначительно выше, чем при неалкогольном стеатозе поджелудочной железы (p=0,694). Значительно более высокая частота желчнокаменной болезни при неалкогольном стеатозе поджелудочной железы требует проведения дальнейших масштабных исследований. Несоответствие степени стеатоза печени и панкреас в более чем 50% случаев может отражать различия в патофизиологии этих двух клинических проявлений.
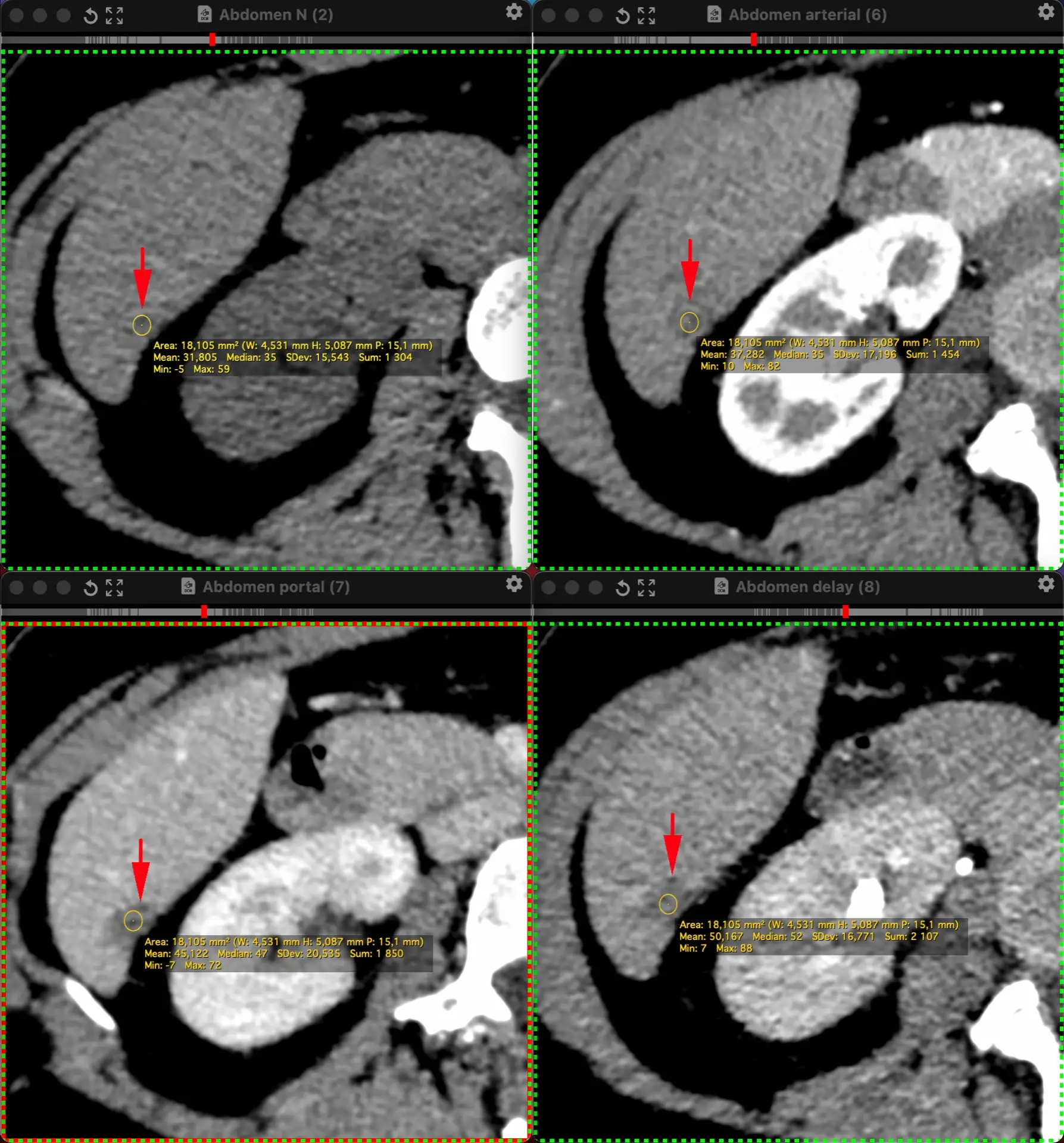
Хороший пример (не верифицирован, но все же, уж больно характерный вид) дифференциальной диагностики множественных новообразований печени. Пациент 63 года. Морфология кольцевидная и на контрастом усиленных сканах, и на диффузии, но не идеально шаровидная, солидный край толстый и неравномерной толщины, артериального гиперконтрастирования больше, чем у паренхимы печени нет (что против гепатоцеллюллярного рака), вымывания нет (тоже против ГЦР), накопление в центре постепенное и медленное. Голосую за периферическую холангиокарциному (или первично множественную, или с внутрипечёночной диссеминацией). А ещё за холангиокарциному - ретракция контура печени и расширение протоков мелких вверх по течению: это достаточно специфично именно для холангиокарциномы. Для гиперваскулярных метастазов нехарактерно отсутствие гиперваскулярности (нет быстрого накопления с вымыванием), на гиповаскулярные, в принципе, паттерн контрастирования, похож, но не похожа морфология (не шарики, не идеальные колечки, ретракция печени, расширение протоков вверх по течению - не характерны для метастазов). Посмотрим, угадаем ли. Но случай интересный. Показательный.
Снеговики бывают разные, но смысл симптома при аденоме гипофиза от этого не меняется: когда опухоль растёт вверх, она протискивается черезу дуральную селлярную диафрагму и в этом месте на ней явственно определяется поясок. Это, как утверждается, достаточно надёжный дифференциально диагностический признак (точность порядка 94-96%) именно аденомы гипофиза, а не какой-то другой опухоли данного расположения.
👍 46🔥 12
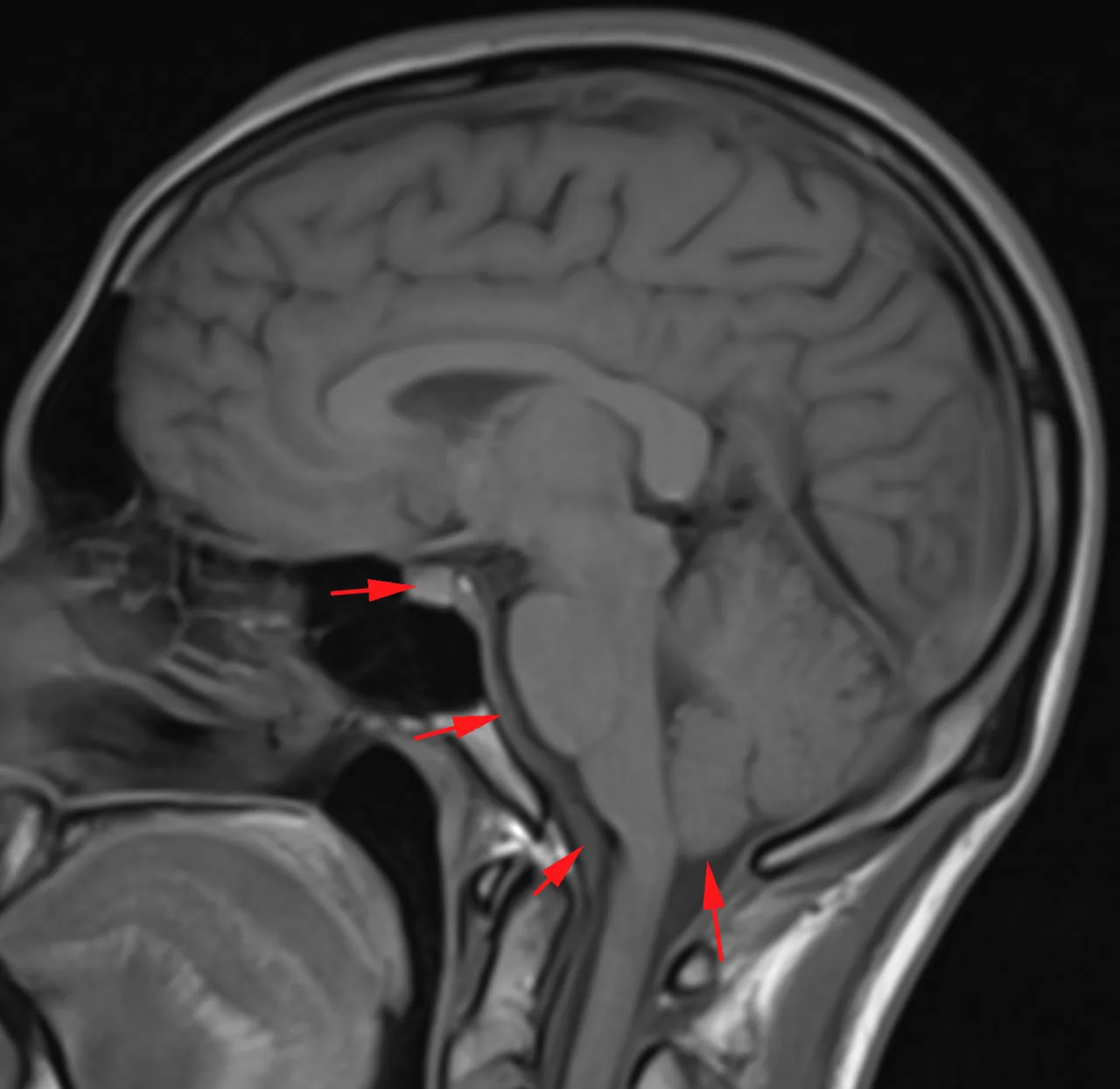
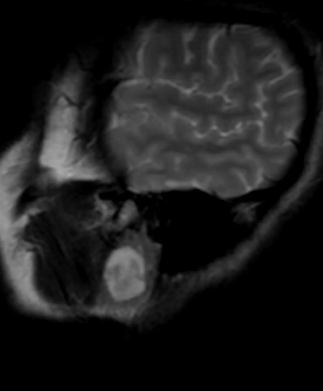
Наконец-то я увидел это воочию! Киста полости Верги, промежуточного паруса, осложнённая гидроцефалией. Из анамнеза: Низкое артериальнео давление, нарушение речи, затуманенное сознание, головная боль, головокружение, в 1989 году перенёс менингит.
А Вы видали такое? Я впервые вижу, раньше только читал в литературе.
А Вы видали такое? Я впервые вижу, раньше только читал в литературе.
👍 77🔥 34
Достаточно курьёзный случай: коллега просит консультации и спрашивает: Андрей Эльдарович, посмотрите, это перегородчатая матка? А снимки вот такие. При внимательной оценке можно, во-первых, понять, что это просто артефакт "удволения" контура (ghosting) из-за движений в передне-заднем направлении, скорее всего, из-за дыхательных экскурсий, во время сканирования, тем паче, что сагиттальный скан есть переделанный и "нешевеленный". А во-вторых, хороший повод вспомнить, что в процессе органогенеза матка формируется из двух половин, правой и левой, и перегородка в ней, если и имеется, то может быть лишь в сагиттальной, а никак не во фронтальной, плоскости. Будьте внимательны и осторожны, как говорится. 😎💀
👍 34🔥 9
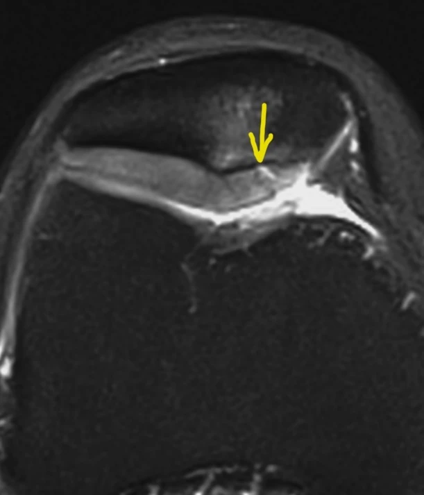
А вот вдогонку ещё костное повреждение Банкарта, парень 20 лет. Последствия переднего вывиха плеча.
👍 33
Из-за отрыва сухожилия подлопаточной мышцы вывихнулось медиально сухожилие длинной головки бицепса. Сухожилие подлопаточной мышцы является одновременно удерживателем длинной головки бицепса в межбугорковой борозде, вплетаясь в малый бугорок плеча и как бы продолжаясь в поперечную связку (связку Броди), которую некоторые считают не истинной связкой, а частью сухожилия надостной мышцы.
🔥 35👍 18
Очередная типичная травма мозга на МРТ. И СУБДУРАЛЬНЫЕ гематомы. И САК. и ушибы. И схема из моей лекции. Как отличить субдурал, эпидурал и субарахноидал.
Дорогой руководство национального мессенджера Макс!
Ну сделайте уже комментарии, неужели это так сложно? Ну стырьте код из Телеграм, клиент Телега же смог! Смогите и вы!
Мы очень ждем.
Подпись: врачи патриоты России. 🇷🇺
Дорогой руководство национального мессенджера Макс!
Ну сделайте уже комментарии, неужели это так сложно? Ну стырьте код из Телеграм, клиент Телега же смог! Смогите и вы!
Мы очень ждем.
Подпись: врачи патриоты России. 🇷🇺
👍 86🔥 13💯 9
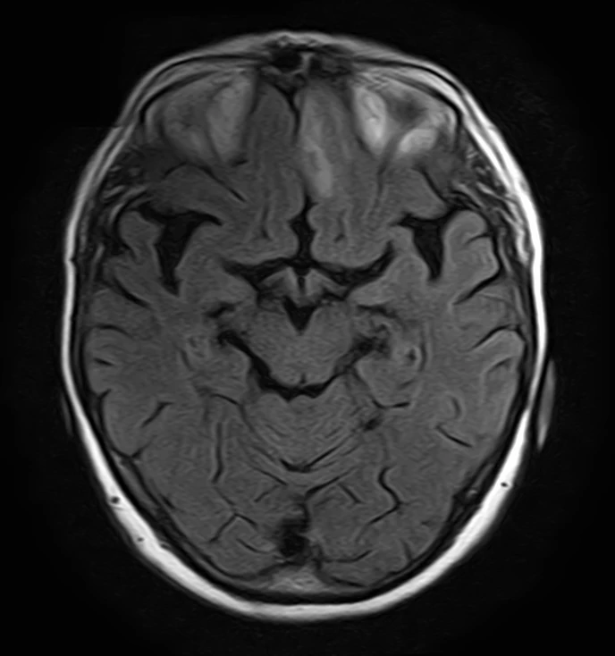
Внутричерепная гипотензия из чата: СКУДО (Субдуральная гигрома (здесь нет, но есть Контрастирование облочек), Утолщение твёрдой мозговой оболочки, Длинный гипофиза, Опущенный мозг).
Кроме того, есть узкие желудочки и толстые раздутые синусы ТМО.
Кроме того, есть узкие желудочки и толстые раздутые синусы ТМО.
🔥 28👍 21
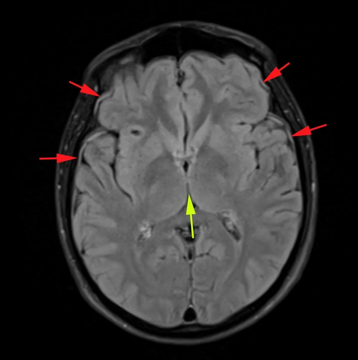
девушка 65 лет. Болезнь Пика классическая (даже без знания клиники) - фронтотемпоральная дегенерация: выраженная, асимметричная, как обычно и бывает, атрофия лобных и височных долей. Перестала вообще говорить, на контако не выходит. Грубая деменция.
🔥 42👍 19🙏 5
Мужчина 35 лет, месяц назад упал с высоты двух метров, сейчас не полностью ориентирован в месте и времени. Типичная (кроме мозжечка справа) картина травматического аксонального повреждения 3 степени (с поражением ствола). Множественные мелкие точечные и линейные микрокровоизлияния, вокруг части из них видны глиоз/отек. А вот в мозжечке, реально, нечасто такое увидишь. Но бывает. Типа, как вот здесь:
🔥 54👍 12
Ещё один прекрасный пример стойкости позвонков, в которых имеется гемангиома, у которой, в свою очередь, имеются очень крупные и плотные трабекулы, по всей видимости, они и не дают позвонку сломаться даже при развитии остеопороза. Пациенту 65 лет, множественные патологические переломы позвонков на фоне остеопороза, а позвонок с гемангиомой практически не изменён. К вопросу о профилактическом цементировании…
👍 80🔥 7
Пациент 27 лет. Две недели назад ударно-волновая литотрипсия. Неделю назад резкое повышение температуры тела, боли в боку. Повторная госпитализация. Установлен стент в левый мочеточник. Нарушения оттока мочи нет. На компьютерных томограммах левосторонний бактериальный нефрит, в верхнем полюсе левой почки – то, что иногда называют карбункул: воспалительный инфильтрат без формирования абсцесса (в англоязычной литературе называется нефрония). Принято решение продолжать антибиотикотерапию.
👍 39🔥 17
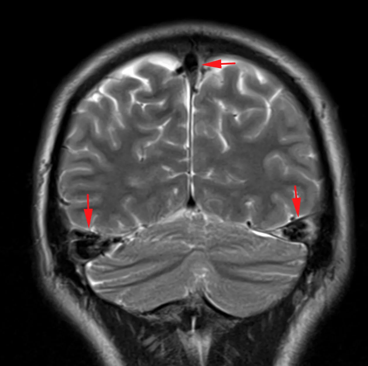
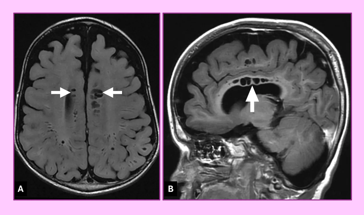
Очередной экземпляр из коллекции расширенных периваскулярных пространств Вирхова-Робена. Типа таких:
🔥 48👍 29
Просто хочу напомнить, что аномалии жёлчного пузыря хоть и крайне редко, но встречаются: держите очередную - перегородчатый жёлчный пузырь. Бывает одна, бывает две, бывает несколько перегородок. Бывает продольная, бывает поперечная, бывает кривая, как здесь. Обычно не имеет клинического значения, некоторые утверждают, что там камни и воспаление легче возникают, но здесь ничего нет. Кстати, на Т1 даже видно, что во всех просветах пузыря есть нормальное изменение структуры жёлчи спереди назад, по типу градиента интенсивности. Что говорит о сохранённой нормальной функции пузыря.
👍 45🔥 8🙏 1
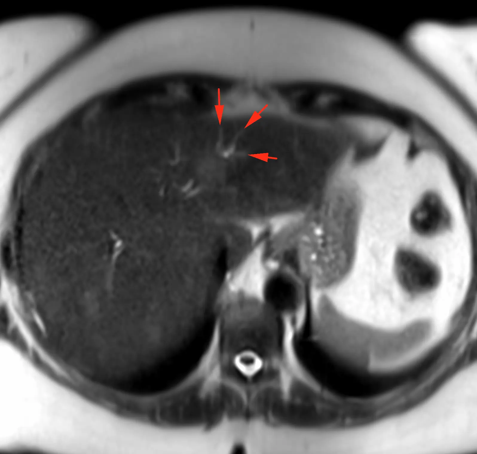
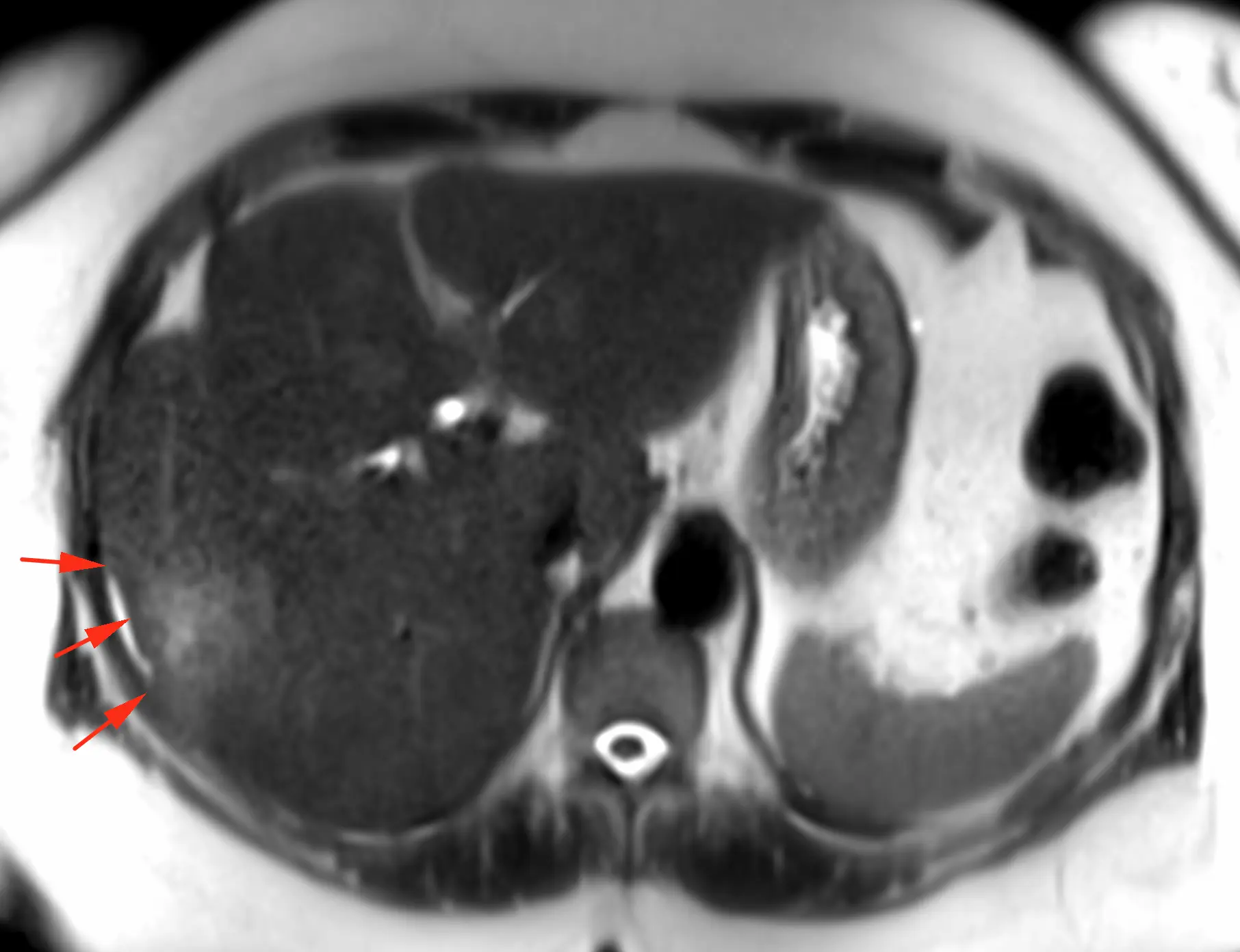
И ещё одна предполагаемая шваннома заднего средостения у женщины, на сей раз 38 лет, обследованной не по её поводу. Бессимптомная, как и почти всегда.
👍 45
Небезосновательно предполагаемая шваннома заднего средостение у женщины 54 лет, обследованной не по её поводу. Бессимптомная, как и почти всегда.
Опухоли нервной системы чаще всего встречаются среди первичных новообразований средостения. Львиная доля их — доброкачественные. Шванномы — самые частые нейрогенный опухоли в грудной клетке, которые развиваются из шванновских клеток периферических нервов (причём, любых, вплоть до самых мелких и необязательно спинномозговых) и часто сидят в заднем средостении. Обнаруживаются почти всегда случайно при проведении различных методов визуализации.
Интраторакальная шваннома чаще всего расположена в заднем средостении. Это - медленно растущая доброкачественная опухоль с низкой вероятностью стать злокачественной. В крайне редких случаях злокачественной трансформации могут встречаться плеоморфные веретенообразные клетки и некротические и геморрагические изменения. Как и в данном случае, опухоль обнаруживается случайно при визуализации: эхокардиография, гастроэндоскопия, КТ или МРТ. Симптомы в подавляющем большинстве случаев, отсутствуют, но могут появиться, если опухоль начнет давить на окружающие органы.
Опухоли нервной системы чаще всего встречаются среди первичных новообразований средостения. Львиная доля их — доброкачественные. Шванномы — самые частые нейрогенный опухоли в грудной клетке, которые развиваются из шванновских клеток периферических нервов (причём, любых, вплоть до самых мелких и необязательно спинномозговых) и часто сидят в заднем средостении. Обнаруживаются почти всегда случайно при проведении различных методов визуализации.
Интраторакальная шваннома чаще всего расположена в заднем средостении. Это - медленно растущая доброкачественная опухоль с низкой вероятностью стать злокачественной. В крайне редких случаях злокачественной трансформации могут встречаться плеоморфные веретенообразные клетки и некротические и геморрагические изменения. Как и в данном случае, опухоль обнаруживается случайно при визуализации: эхокардиография, гастроэндоскопия, КТ или МРТ. Симптомы в подавляющем большинстве случаев, отсутствуют, но могут появиться, если опухоль начнет давить на окружающие органы.
👍 63
Вот, ещё один случай, все прекрасно, как мы с вами любим: диагноз по одному срезу. Рассеянный склероз. выполненны критерии диссеминации в пространстве. Есть очаг под наметом мозжечка, в мосту, кроме того, у него и морфология характерная для рассеянного склероза: субпиальный и вытянутый. И есть очаг рядом с корой, который её касается, по-умному – юкстакортикальный. Ну и ещё один юкстакортикальный
для гарантии 😅
для гарантии 😅
👍 46🔥 25
Один из вариантов тарзальной коалиции: таранно-пяточный синдесмоз. Напомню, что тарзальной называется патологическое сочленение между костями плюсны и предплюсны, может быть в виде синостоза, синхондроза и синдесмоза. Если имеется синдесмоз (как здесь), то хроническая его перегрузка приводит к артрозу и всем его типичным проявлениям, как здесь: неровностям контактных поверхностпей, субхондральные отёк и полости (кисты). Локально болит, особенно при нагрузке. Пациент 26 лет.
🔥 43👍 20
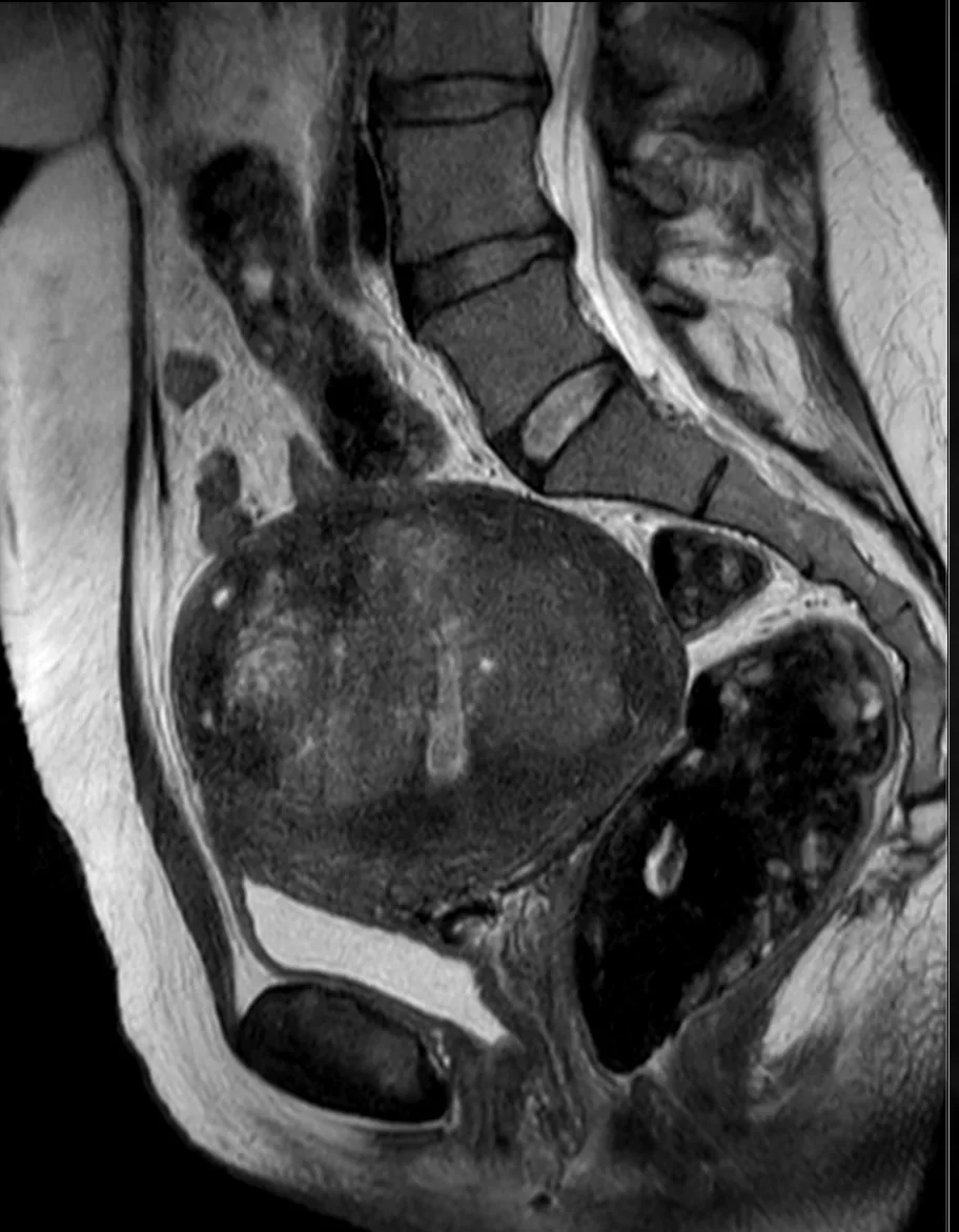
Классные тератомы. 30 лет.
В ОРАЦ есть интересный момент: когда речь о тератоме, то надо оценить, есть ли значительное количество ткани, накапливающей контраст. Субъективная вещь. Один сочтёт, что значительное, другой сочтёт, что не значительное. Но в первом случае это будет четвёртая категория и опухоли надо удалять, а во втором случае это будет вторая категория, и можно просто спокойно понаблюдать. Только что переубедил коллегу написать двойку вместо четвёрки по этим картинкам.
Кривую показываю на всякий случай, она на присвоение категории в данном случае не влияет, но дополнительно успокаивает, что ли. А зубчатость её объясняется тем, что исходные изображения и изображения после субтракции представляют собой одну серию, а вручную их разделять мне было лень. На информативность кривой это никак не влияет.
Видно, что в миометрии контраст накапливается гораздо быстрее и гораздо сильнее. То есть, если бы это на что-то влияло, то эту кривую надо было бы расценить, как кривую низкого риска.
В ОРАЦ есть интересный момент: когда речь о тератоме, то надо оценить, есть ли значительное количество ткани, накапливающей контраст. Субъективная вещь. Один сочтёт, что значительное, другой сочтёт, что не значительное. Но в первом случае это будет четвёртая категория и опухоли надо удалять, а во втором случае это будет вторая категория, и можно просто спокойно понаблюдать. Только что переубедил коллегу написать двойку вместо четвёрки по этим картинкам.
Кривую показываю на всякий случай, она на присвоение категории в данном случае не влияет, но дополнительно успокаивает, что ли. А зубчатость её объясняется тем, что исходные изображения и изображения после субтракции представляют собой одну серию, а вручную их разделять мне было лень. На информативность кривой это никак не влияет.
Видно, что в миометрии контраст накапливается гораздо быстрее и гораздо сильнее. То есть, если бы это на что-то влияло, то эту кривую надо было бы расценить, как кривую низкого риска.
👍 42🔥 2
Пламенный привет вновь прибывшим! 😘😘😘
🫡 35🔥 25👍 4
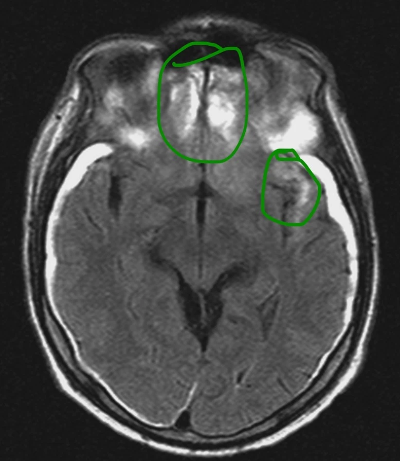
А Вы вообще, в курсе, что лептоменингиальные метастазы, как внечерепных, так и внутричерепных опухолей, могут не накапливать контраст? У пациентки 74 лет 01.03.2026 года - ухудшилось состояние, начала подволакивать правую ногу, перестала отвечать на вопросы, пациентка в сопоре с 02.03. Имеется как бы обведённый фломастером на FLAIR и DWI ствол, ну и гиперсигнал на FLAIR в субарахноидальных пространствах мозжечка с отёком самого мозжечка. И арезорбтивная гидроцефалия с декомпенсацией. А накопления контраста нет.
🔥 37👍 12
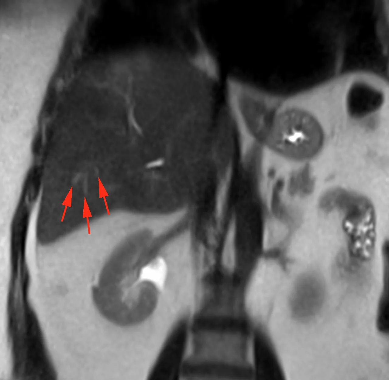
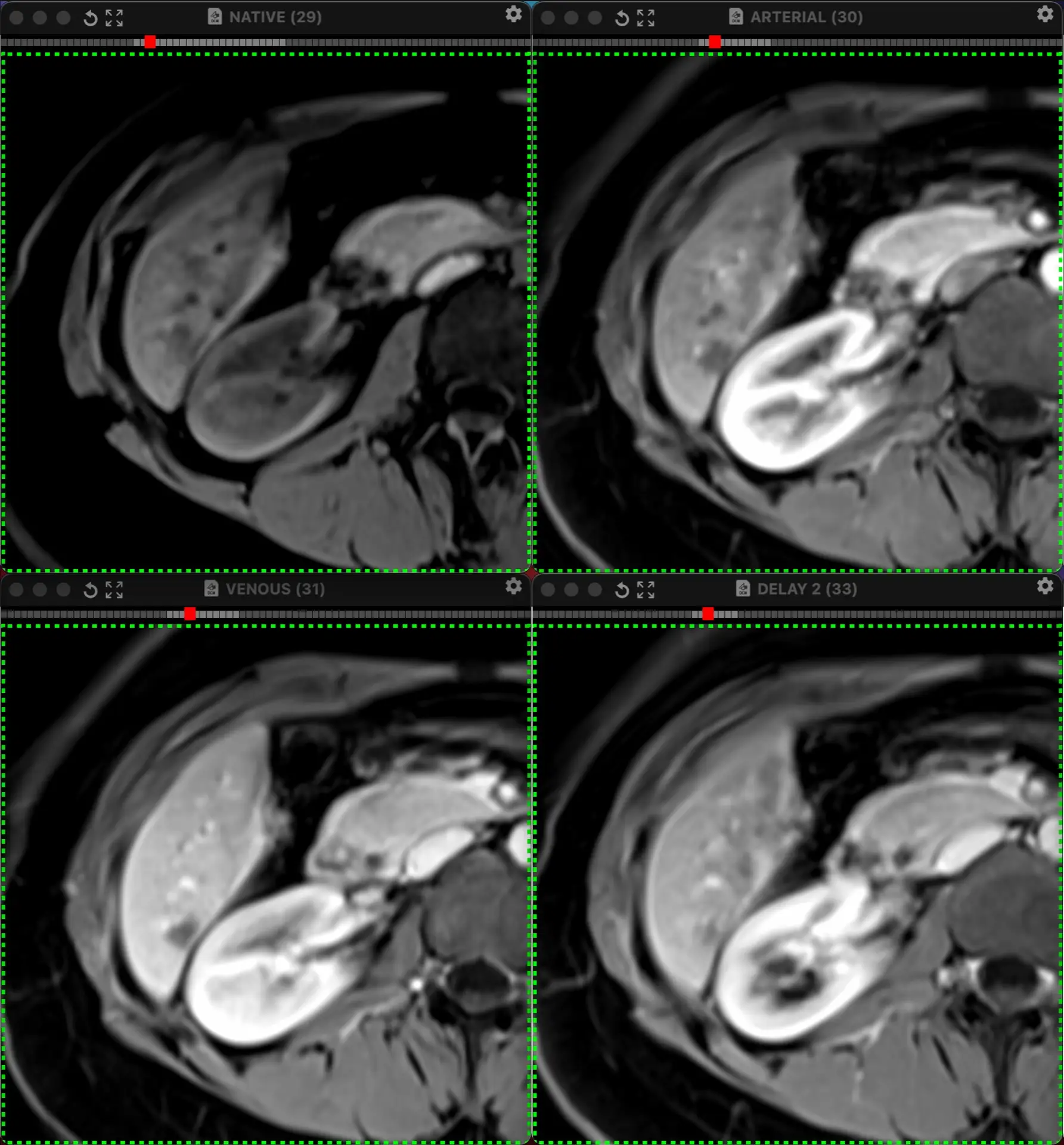
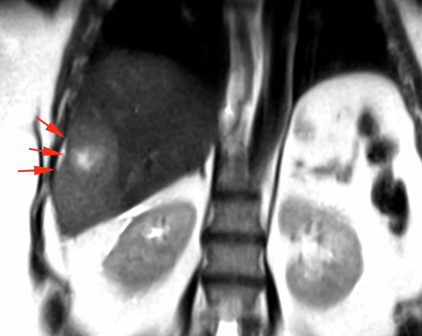
ЖЕНЩИНА 38 лет, фокальное изменение печени выявлено на УЗИ.
Повторные #КТ (с разницей в 2,5 месяца) без динамики. Имеется медленное, постепенное, слабоинтенсивное накопление контраста от периферии к центру.
На #МРТ - очень высокий сигнал на Т2, низкий на Т1, «лучистые» контуры. Истинное ограничение диффузии (ADC=460±109х10-6 кв.мм/с). Накопление контраста такое же, но на МРТ лучше видны краевое узелков накопление в артериальную фазу, тотального контрастирования нет даже на отсроченной фазе (через 5 минут).
Картина характерна: это гиалинизированная/ #склерозированнаягемангиома. Характерное стяжение контура является свидетельством склерозирования: уменьшения объёма, «рубцевания».
Гемангиомы с суженными кавернозными пространствами из-за склероза имеют большее количество более толстых и неровных перегородок, которые могут препятствовать диффузии молекул, что приводит к снижению значений ADC.
Склерозированные гемангиомы печени — это редкие доброкачественные поражения, которые часто трудно отличить от злокачественных, ибо они не имеют типичных для кавернозных гемангиом признаков.
Но! Часть признаков все равно сохраняются:
1. Значительный гиперсигнал на т2
2. Резкие, хоть и неровные, контуры
3. Центрипетальное, и иногда с приставочными узелками накопления контраста на артериальной фазе, контрастирование, пусть и неполное.
4. Стабильность в динамике
Повторные #КТ (с разницей в 2,5 месяца) без динамики. Имеется медленное, постепенное, слабоинтенсивное накопление контраста от периферии к центру.
На #МРТ - очень высокий сигнал на Т2, низкий на Т1, «лучистые» контуры. Истинное ограничение диффузии (ADC=460±109х10-6 кв.мм/с). Накопление контраста такое же, но на МРТ лучше видны краевое узелков накопление в артериальную фазу, тотального контрастирования нет даже на отсроченной фазе (через 5 минут).
Картина характерна: это гиалинизированная/ #склерозированнаягемангиома. Характерное стяжение контура является свидетельством склерозирования: уменьшения объёма, «рубцевания».
Гемангиомы с суженными кавернозными пространствами из-за склероза имеют большее количество более толстых и неровных перегородок, которые могут препятствовать диффузии молекул, что приводит к снижению значений ADC.
Склерозированные гемангиомы печени — это редкие доброкачественные поражения, которые часто трудно отличить от злокачественных, ибо они не имеют типичных для кавернозных гемангиом признаков.
Но! Часть признаков все равно сохраняются:
1. Значительный гиперсигнал на т2
2. Резкие, хоть и неровные, контуры
3. Центрипетальное, и иногда с приставочными узелками накопления контраста на артериальной фазе, контрастирование, пусть и неполное.
4. Стабильность в динамике
👍 23🔥 12
Четыре танкиста и собака
Семь менингиом и метастаз (рака молочной железы).
Четко видно, как по строению отличаются доброкачественные опухоли от злокачественных.
Первые яркие, четкие, шаровидные/полушаровидные, видно прикрепление широким основанием к костям, даже у самой мелкой.
А метастаз неровный, неяркий, нечеткий, неровный, из-за некроза, инвазии в мозг и перифокального отека.
Смотрим и запоминаем!
Семь менингиом и метастаз (рака молочной железы).
Четко видно, как по строению отличаются доброкачественные опухоли от злокачественных.
Первые яркие, четкие, шаровидные/полушаровидные, видно прикрепление широким основанием к костям, даже у самой мелкой.
А метастаз неровный, неяркий, нечеткий, неровный, из-за некроза, инвазии в мозг и перифокального отека.
Смотрим и запоминаем!
👍 40
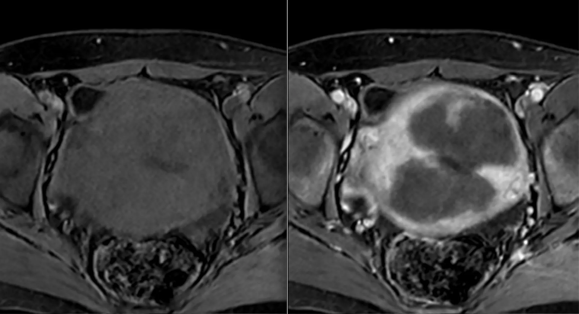
Сделали мочевой пузырь с контрастом, оказалось три образования в стенке, категория по ви-рац – четвёрка.
То, что по КТ выглядело, как огромное образование, по большей части оказалось кровяным сгустком. Оценить стенку на мрт с контрастом оказалось возможным только благодаря вычитанию, рекомендуем это всем, кто занимается оценкой стадий рака мочевого пузыря на МРТ. Помогает, когда внутри сгустки крови, яркие на нативной T1W.
Вот и думай теперь, что с этим делать. Пузырь удалять?
То, что по КТ выглядело, как огромное образование, по большей части оказалось кровяным сгустком. Оценить стенку на мрт с контрастом оказалось возможным только благодаря вычитанию, рекомендуем это всем, кто занимается оценкой стадий рака мочевого пузыря на МРТ. Помогает, когда внутри сгустки крови, яркие на нативной T1W.
Вот и думай теперь, что с этим делать. Пузырь удалять?
👍 38🙏 1
Пост удален
Пост удален
Вот такое нашли у друга… ну ё моё…
Не беспокоило! Три дня назад - макрогематурия.
Красиво получилось. Завтра будем изучать, что там по VI-RADS, результаты доложу. Не переключайтесь.
Не беспокоило! Три дня назад - макрогематурия.
Красиво получилось. Завтра будем изучать, что там по VI-RADS, результаты доложу. Не переключайтесь.
🙏 24🔥 16👍 2
Бессимптомная Дилатация Желчных Протоков
По данным литературы верхний предел диаметра общего желчного протока составляет 6-7 мм при измерении перпендикулярно стенке в ее самом широком месте и, как правило, считается, что его диаметр увеличивается с возрастом. Красивое правило существует, которое говорит об увеличении диаметра на 1 мм каждые 10 лет жизни после 50 лет. Белая книга о случайных находках желчной системы при исследованиях брюшной полости (10) рекомендует, чтобы случайно выявленная равномерная дилатация желчных протоков более 6 мм (10 мм у пациентов после холецистэктомии) у бессимптомных пациентов без отклонений в биохимическом исследование крови не требует дополнительной визуализации. Исследование Чалфанта и др. (33) не выявило случаев злокачественной опухоли у 156 пациентов с бессимптомной дилатацией желчных протоков, обнаруженной на КТ без выявленной обструктивной причины и с нормальными биохимическими показателями функции печени, подтверждая эту рекомендацию. Причина дилатации желчных протоков у этих пациентов может быть функциональной, например, дисфункция сфинктера Одди или хроническое употребление опиоидов.
По данным литературы верхний предел диаметра общего желчного протока составляет 6-7 мм при измерении перпендикулярно стенке в ее самом широком месте и, как правило, считается, что его диаметр увеличивается с возрастом. Красивое правило существует, которое говорит об увеличении диаметра на 1 мм каждые 10 лет жизни после 50 лет. Белая книга о случайных находках желчной системы при исследованиях брюшной полости (10) рекомендует, чтобы случайно выявленная равномерная дилатация желчных протоков более 6 мм (10 мм у пациентов после холецистэктомии) у бессимптомных пациентов без отклонений в биохимическом исследование крови не требует дополнительной визуализации. Исследование Чалфанта и др. (33) не выявило случаев злокачественной опухоли у 156 пациентов с бессимптомной дилатацией желчных протоков, обнаруженной на КТ без выявленной обструктивной причины и с нормальными биохимическими показателями функции печени, подтверждая эту рекомендацию. Причина дилатации желчных протоков у этих пациентов может быть функциональной, например, дисфункция сфинктера Одди или хроническое употребление опиоидов.
👍 36🙏 2
Рак шейки матки. Полный ответ на терапию. Не такая уж и редкость. другое дело, что дальше будет? Стойкий будет ответ или всё-таки вырастет?
👍 36🔥 10
Частично кольцевидная поджелудочная железа: головка охватывает нисходящую часть двенадцатиперстной кишки с трёх сторон (со всех, кроме латеральной), на УЗИ увидели опухоль, но они ошиблись. Структура дополнительной ткани головки на всех последоваетльностях не отличается от нормальной. Случайная находка, но послужила поводом для МРТ. Редко встречается. Увидите - не путайте с опухолью!
👍 29💯 3
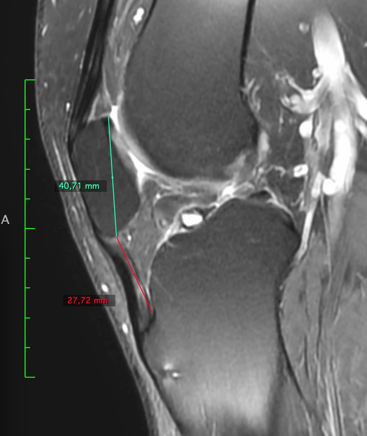
Симметричные, но не полностью, разрушения хрящей надколенников. Сочетание перегрузок с легкой пателло-феморальной дисплазией (а она, чаще всего, двусторонняя), делают свое чёрное дело. Естественно, что правая нога, как опорная, пострадала больше. Справа трещины в хряще глубокие, достигают кортикальной кости, слева пока лишь есть неравномерность структуры хряща. Но с обеих сторон есть реакция губчатой кости, отёк из-за перегрузки.
👍 21🔥 14
Сравнение свежих американских и отечественных текущих рекомендаций по ишемическому инсульту
👍 10
остром инсульте.
9. Управление гликемией у пациентов с АИС было обновлено с предыдущих руководящих принципов, так что интенсивный контроль глюкозы в диапазоне от 80 до 130 мг/
dL не рекомендуется для улучшения клинических результатов и увеличивает риск тяжелой гипогликемии.
10. Несколько новых испытаний оценивали эффективность и безопасность снижения артериального давления (АД) после IVT и EVT у взрослых пациентов, предоставив новые доказательства
Что более интенсивное снижение АД не улучшает функциональный результат после IVT и может привести к вреду после EVT. Поэтому интенсивное снижение систолического артериального давления до <140 мм рт.ст. не рекомендуется даже в
Установка полной реперфузии (например, тромболиз при инфаркте головного мозга 3 степени).
9. Управление гликемией у пациентов с АИС было обновлено с предыдущих руководящих принципов, так что интенсивный контроль глюкозы в диапазоне от 80 до 130 мг/
dL не рекомендуется для улучшения клинических результатов и увеличивает риск тяжелой гипогликемии.
10. Несколько новых испытаний оценивали эффективность и безопасность снижения артериального давления (АД) после IVT и EVT у взрослых пациентов, предоставив новые доказательства
Что более интенсивное снижение АД не улучшает функциональный результат после IVT и может привести к вреду после EVT. Поэтому интенсивное снижение систолического артериального давления до <140 мм рт.ст. не рекомендуется даже в
Установка полной реперфузии (например, тромболиз при инфаркте головного мозга 3 степени).
👍 9
Инсульт. 2026;57:e00–e00.
DOI: 10.1161/STR.00000000000000513
Руководство по острому ишемическому инсульту 2026 года
ОСНОВНЫЕ КЛЮЧЕВЫЕ МОМЕНТЫ
1. Мобильные инсультные бригады (МИБ) позволяют быстро выявить и лечить тромболитически приемлемых пациентов с острым ишемическим инсультом (ОИИ). Недавние исследования подчеркнули преимущество МИБ по сравнению с обычными службами неотложной медицинской помощи, и, когда это возможно, руководство теперь включает в себя рекомендации, связанные с внедрением МИБ, на основе их безопасности и полезности.
2. Определение правильной транспортировки для пациентов с подозрением на инсульт на догоспитальной стадии остается сложной задачей. Предыдущие рекомендации предполагали транспортировку в ближайшее медицинское учреждение, способное провести тромболитическую терапию. Учитывая последние доказательства, это руководство подтверждает необходимость рассмотрения особенностей местной системы и прямую транспортировку в ближайшую больницу, пригодную для эндоваскулярной тромбэктомии (EVT), при отсутствии хорошо функционирующих систем с возможность быстрого перевода в другую больницу.
3. Внутривенный тромболиз (IVT) является основой медицинского лечения пациентов с ОИИ. Учитывая многочисленные международные исследования, показывающие не меньшую эффективность и потенциальные преимущества внутривенного тенектеплазы по сравнению с альтеплазой, новые рекомендации поддерживают использование альтеплазы или тенектеплазы в 4,5-часовом тромболитическом окне. Кроме того, мы подчеркиваем необходимость неотложной тромболитической терапии у подходящих пациентов с тяжелым неврологическим дефицитом, независимо от оценки по шкале инсульта Национального института здравоохранения (NIHSS), в течение 4,5-часового окна без усложненного отбора на основании продвинутой визуализации. Кроме того, рекомендации поддерживают расширенное временное окно тромболиза для отдельных пациентов с инсультом с неизвестным временем начала или 4,5-9 часов с момента начала с использованием продвинутых критериев визуализации (например, диффузионно-взвешенное, FLAIR или несоответствие на основе перфузии).
4. Для пациентов с не инвалидизирующим дефицитом (например, изолированным сенсорным синдромом) в 4,5-часовом окне исследования не смогли продемонстрировать пользу тромболиза. В этой популяции предпочтительна и рекомендуется двойная антитромбоцитарная терапия.
5. В новых исследованиях изучалась роль адъювантной антитромботической терапии аргатробаном и эптифибатидо, одновременно с IVT. Эти исследования не показали никакой пользы, и поэтому адъювантные антитромботические препараты для улучшения результатов тромболитической терапии не рекомендуются.
6. EVT была утверждена
в качестве стандартного лечения для пациентов с ОИИ с окклюзией крупных сосудов (LVO) на основе многочисленных рандомизированных контролируемых исследований. Последние данные подтверждают возможность применения EVT у групп населения, ранее считавшихся неподходящими. В частности, несколько исследований показывают, что EVT приносит пользу некоторым пациентам с более обширными по данным диагностической визуализации ишемическими инсультами.
7. Основываясь на нескольких исследованиях, продемонстрировавших улучшение функциональных результатов по сравнению только с медикаментозным лечением, настоящие рекомендации также содержат сильную рекомендацию по EVT у пациентов с окклюзией основной артерии в течение 24 часов после появления симптомов и оценке по NIHSS ≥10.
8. Впервые руководящие принципы включают рекомендации по интервенционному лечению у детей с ОИИ. Хотя еще предстоит много работы по адаптации догоспитальных и больничных протоколов инсульта лечению детей, консенсус экспертов и недавние исследования акцентируют важность раннего распознавания инсульта у детей и поддержать безопасность и потенциальную пользу от
Эндоваскулярные вмешательства у отдельных педиатрических пациентов с АИС. Эти рекомендации служат основой для будущих рекомендаций и касаются этапов педиатрической помощи при
DOI: 10.1161/STR.00000000000000513
Руководство по острому ишемическому инсульту 2026 года
ОСНОВНЫЕ КЛЮЧЕВЫЕ МОМЕНТЫ
1. Мобильные инсультные бригады (МИБ) позволяют быстро выявить и лечить тромболитически приемлемых пациентов с острым ишемическим инсультом (ОИИ). Недавние исследования подчеркнули преимущество МИБ по сравнению с обычными службами неотложной медицинской помощи, и, когда это возможно, руководство теперь включает в себя рекомендации, связанные с внедрением МИБ, на основе их безопасности и полезности.
2. Определение правильной транспортировки для пациентов с подозрением на инсульт на догоспитальной стадии остается сложной задачей. Предыдущие рекомендации предполагали транспортировку в ближайшее медицинское учреждение, способное провести тромболитическую терапию. Учитывая последние доказательства, это руководство подтверждает необходимость рассмотрения особенностей местной системы и прямую транспортировку в ближайшую больницу, пригодную для эндоваскулярной тромбэктомии (EVT), при отсутствии хорошо функционирующих систем с возможность быстрого перевода в другую больницу.
3. Внутривенный тромболиз (IVT) является основой медицинского лечения пациентов с ОИИ. Учитывая многочисленные международные исследования, показывающие не меньшую эффективность и потенциальные преимущества внутривенного тенектеплазы по сравнению с альтеплазой, новые рекомендации поддерживают использование альтеплазы или тенектеплазы в 4,5-часовом тромболитическом окне. Кроме того, мы подчеркиваем необходимость неотложной тромболитической терапии у подходящих пациентов с тяжелым неврологическим дефицитом, независимо от оценки по шкале инсульта Национального института здравоохранения (NIHSS), в течение 4,5-часового окна без усложненного отбора на основании продвинутой визуализации. Кроме того, рекомендации поддерживают расширенное временное окно тромболиза для отдельных пациентов с инсультом с неизвестным временем начала или 4,5-9 часов с момента начала с использованием продвинутых критериев визуализации (например, диффузионно-взвешенное, FLAIR или несоответствие на основе перфузии).
4. Для пациентов с не инвалидизирующим дефицитом (например, изолированным сенсорным синдромом) в 4,5-часовом окне исследования не смогли продемонстрировать пользу тромболиза. В этой популяции предпочтительна и рекомендуется двойная антитромбоцитарная терапия.
5. В новых исследованиях изучалась роль адъювантной антитромботической терапии аргатробаном и эптифибатидо, одновременно с IVT. Эти исследования не показали никакой пользы, и поэтому адъювантные антитромботические препараты для улучшения результатов тромболитической терапии не рекомендуются.
6. EVT была утверждена
в качестве стандартного лечения для пациентов с ОИИ с окклюзией крупных сосудов (LVO) на основе многочисленных рандомизированных контролируемых исследований. Последние данные подтверждают возможность применения EVT у групп населения, ранее считавшихся неподходящими. В частности, несколько исследований показывают, что EVT приносит пользу некоторым пациентам с более обширными по данным диагностической визуализации ишемическими инсультами.
7. Основываясь на нескольких исследованиях, продемонстрировавших улучшение функциональных результатов по сравнению только с медикаментозным лечением, настоящие рекомендации также содержат сильную рекомендацию по EVT у пациентов с окклюзией основной артерии в течение 24 часов после появления симптомов и оценке по NIHSS ≥10.
8. Впервые руководящие принципы включают рекомендации по интервенционному лечению у детей с ОИИ. Хотя еще предстоит много работы по адаптации догоспитальных и больничных протоколов инсульта лечению детей, консенсус экспертов и недавние исследования акцентируют важность раннего распознавания инсульта у детей и поддержать безопасность и потенциальную пользу от
Эндоваскулярные вмешательства у отдельных педиатрических пациентов с АИС. Эти рекомендации служат основой для будущих рекомендаций и касаются этапов педиатрической помощи при
👍 9
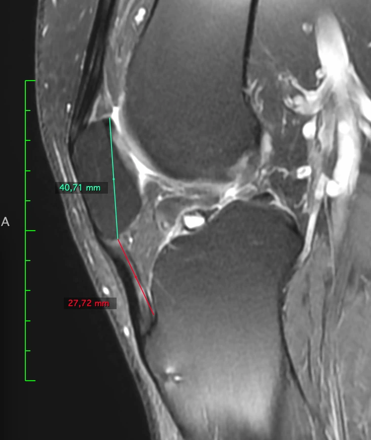
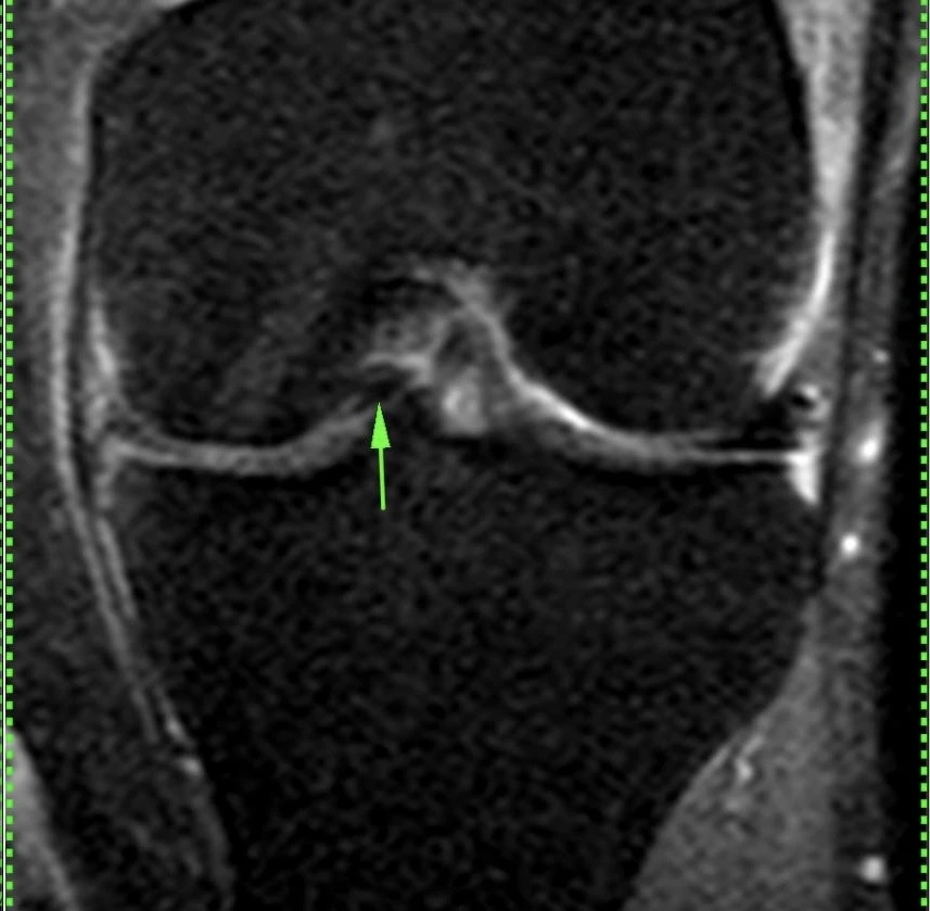
Patella baja и лигаментоз собственной связки надколенника вследствие этого.
👍 38
Как же надоели эти сказки про повреждение почек внутривенно вводимыми препаратами йода!
Почитайте, уже, вот это:
https://emcrit.org/ibcc/contrast/
Несмотря на десятилетия поиска и буквально тысячи публикаций, нет никаких убедительных доказательств того, что современные контрастные препараты наносят клинически значимый вред. Подавляющее большинство последних публикаций предполагает, что современные контрастные препараты безопасны. Несколько публикаций поднимают возможность причинения вреда, но эти исследования в целом непоследовательны (например, выявили повышенный риск диализа без повышенного риска повреждения почек).
К сожалению, мы никогда не сможем исключить возможность того, что контрастный препарат является нефротоксичным со 100% уверенностью (это методологически невозможно, потому что для этого потребуется массивное перспективное РКИ). Тем не менее, лучшие из имеющихся доказательств указывают на то, что контрастный препарат безопасен. Если бы контрастный препарат был нефротоксичным, то он должен был быть чрезвычайно слабым нефротоксином, не имеющим реального клинического значения.
В целом, учитывая огромный объем исследований, которые были проведены для прояснения этого вопроса, очень обнадеживает то, что не было найдено окончательных доказательств вреда. Почечные эффекты контрастного препараты, вероятно, были исследованы более интенсивно, чем почечный эффект любого другого препарата или вещества в истории болезни.
Почитайте, уже, вот это:
https://emcrit.org/ibcc/contrast/
Несмотря на десятилетия поиска и буквально тысячи публикаций, нет никаких убедительных доказательств того, что современные контрастные препараты наносят клинически значимый вред. Подавляющее большинство последних публикаций предполагает, что современные контрастные препараты безопасны. Несколько публикаций поднимают возможность причинения вреда, но эти исследования в целом непоследовательны (например, выявили повышенный риск диализа без повышенного риска повреждения почек).
К сожалению, мы никогда не сможем исключить возможность того, что контрастный препарат является нефротоксичным со 100% уверенностью (это методологически невозможно, потому что для этого потребуется массивное перспективное РКИ). Тем не менее, лучшие из имеющихся доказательств указывают на то, что контрастный препарат безопасен. Если бы контрастный препарат был нефротоксичным, то он должен был быть чрезвычайно слабым нефротоксином, не имеющим реального клинического значения.
В целом, учитывая огромный объем исследований, которые были проведены для прояснения этого вопроса, очень обнадеживает то, что не было найдено окончательных доказательств вреда. Почечные эффекты контрастного препараты, вероятно, были исследованы более интенсивно, чем почечный эффект любого другого препарата или вещества в истории болезни.
👍 12
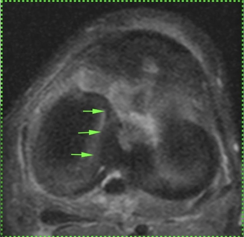
Обширная, ветвистая венозная мальформация (ранее известная, да и до сих пор тоже, как гемангиома) мягких тканей области коленного сустава.
Картина типичная, дифференциальная диагностика не требуется.
Представляет собой скопление аномальных, расширенных, извитых венозных сосудов, стенка которых гистологически не отличается от стенок обычных вен. Хорошо видны связи мальформации с обычными венами. Внутри некоторых из полостей видны выпадение сигнала, которые являются флеболитами (кальцинированными внутрисосудистыми тромбами).
Кстати, может никак не проявляться клинически, будучи даже таких больших размеров.
Картина типичная, дифференциальная диагностика не требуется.
Представляет собой скопление аномальных, расширенных, извитых венозных сосудов, стенка которых гистологически не отличается от стенок обычных вен. Хорошо видны связи мальформации с обычными венами. Внутри некоторых из полостей видны выпадение сигнала, которые являются флеболитами (кальцинированными внутрисосудистыми тромбами).
Кстати, может никак не проявляться клинически, будучи даже таких больших размеров.
👍 23🔥 11
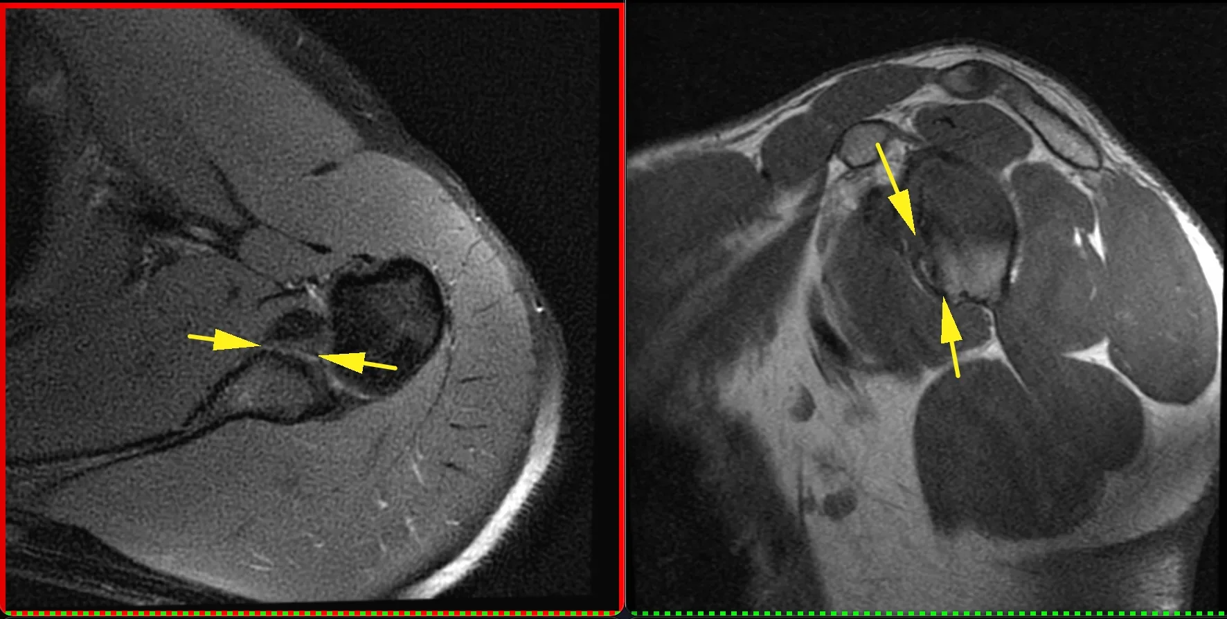
Отрыв нижней плечелопаточной связки от анатомической шейки плеча: трава борца при спарринге. Нечасто встретишь такое именно изолированное поражение.,
👍 22🔥 9
Перегородчатая матка с аденомиозом.
Не называйте такие матки двурогими/удвоенными.
У удвоенной/двурогой медиальная стенка каждого рога ОТДЕЛЬНАЯ. А у перегородчатой матки медиальная стенка ОБЩАЯ.
И вообще, видите КАКОЕ-ЛИБО удвоение матки, погуглите Müllerian duct anomalies и найдите на схеме похожую аномалию, чтобы не спутать. Например, вот такую.
Не называйте такие матки двурогими/удвоенными.
У удвоенной/двурогой медиальная стенка каждого рога ОТДЕЛЬНАЯ. А у перегородчатой матки медиальная стенка ОБЩАЯ.
И вообще, видите КАКОЕ-ЛИБО удвоение матки, погуглите Müllerian duct anomalies и найдите на схеме похожую аномалию, чтобы не спутать. Например, вот такую.
👍 18🔥 8
Менингиомы иногда не ходят одни. А по две, три и больше. Самая крупная слева в ЗЧЯ - хорошо видно место, из которого она растет: фокальные утолщения кости по краям и плоское основание опухоли (стрелки).
👍 18
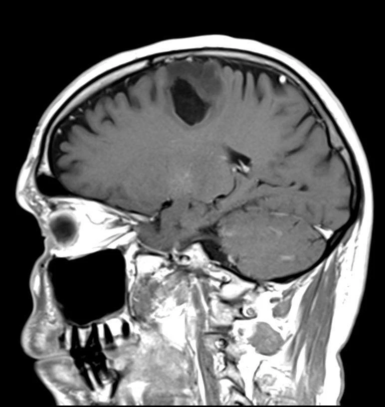
Женщина 67 лет, госпитализирована по поводу доброкачественного пароксизмального позиционного
головокружения, лежит в неврологии, беспокоит лишь головокружение , травму отрицает , как интерпретировать изменения в лобной доле? Как по мне, так обычный геморрагический ушиб, а отрицать может лишь в двух случаях: либо врет, либо амнезировала. Встречались с такими травмами мозга?
головокружения, лежит в неврологии, беспокоит лишь головокружение , травму отрицает , как интерпретировать изменения в лобной доле? Как по мне, так обычный геморрагический ушиб, а отрицать может лишь в двух случаях: либо врет, либо амнезировала. Встречались с такими травмами мозга?
👍 22🫡 1
ку
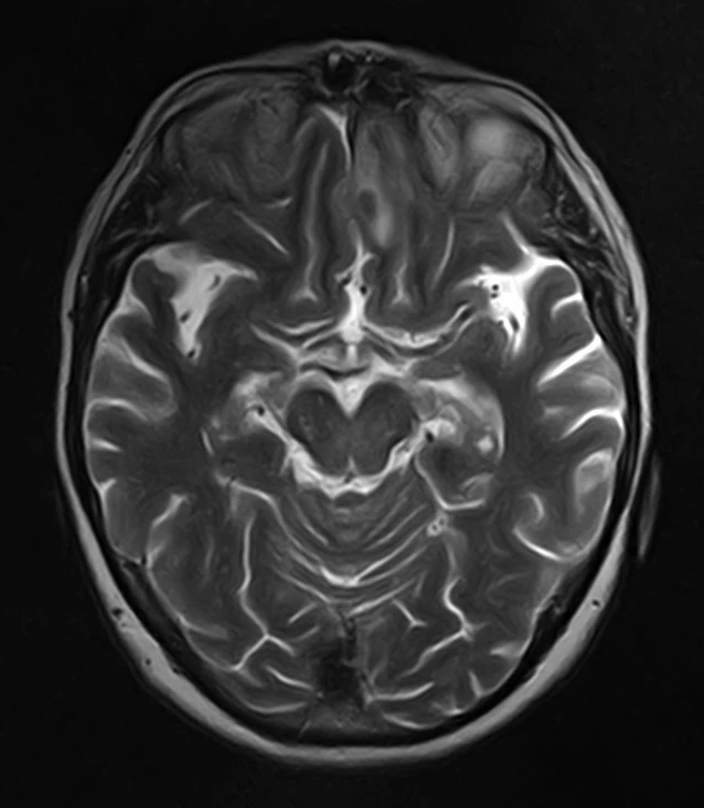
Какие прекрасные периваскулярные пространства. ПЫСЫ. Слово криблюры ненавижу: ассоциация "хрипит и блюёт".
👍 24🔥 11💯 5