Логотип

Разборчивым почерком

Информация, которую мы предлагаем вам здесь, предоставлена Министерством здравоохранения Московской области. Посему может считаться официальной.
Подписчики
1129
За 24 часа
+14
19:37 12-12-2025
Переслано:
МОНИКИ - 250 лет

🤝От имени Министерства здравоохранения Московской области и от себя лично сердечно поздравляю МОНИКИ имени М.Ф. Владимирского с юбилеем.

МОНИКИ — медицинское учреждение с богатейшей историей. Это символ подмосковного здравоохранения, место, где на протяжении двух с половиной веков формируются традиции служения человеку, науке и профессии.

🔬Сегодня МОНИКИ — это 36 клинических подразделений, оснащенных современным оборудованием, 42 операционные, передовые направления кардио- и нейрохирургии, трансплантологии, онкологии, высокотехнологичной диагностики.

МОНИКИ — это и мощная образовательная база. Аккредитационно-симуляционный центр, более 200 сценариев обучения по 55 специальностям, использование виртуальной реальности и элементов искусственного интеллекта — все это формирует врачей нового поколения, уверенных в своих навыках и готовых к самым сложным клиническим ситуациям.

👥Главная ценность института — это, конечно, люди.
Опытнейшие специалисты, признанные мастера своего дела, и молодые врачи, которые приходят в профессию с горящими глазами.

Правительство Московской области и дальше будет поддерживать развитие института: обновление инфраструктуры, внедрение роботизированной хирургии, создание комфортных условий для пациентов и достойной социальной поддержки для медицинских работников.

Дорогие коллеги, спасибо вам за профессионализм, преданность делу и доверие пациентов.

Желаю МОНИКИ дальнейшего развития, новых научных открытий, технологических прорывов и уверенного движения вперед.
14:09 12-12-2025
⚡️ Роскошный максимум Лидии Нейроновны — запись к врачу через мессенджер MAX.

📲 Это можно сделать через специальный чат-бот Денис. Подробная инструкция — в рассказе Лидии Нейроновны.

Через чат-бот в МАХ можно👇
✅ записаться на очный приём и телемедицинскую консультацию
✅ вызвать врача на дом
✅ найти ближайший травмпункт
✅ заказать электронную справку
✅ проверить свои записи

📲 Цифровой помощник в МАХ — https://max.ru/eregistratura_mo_bot
☎️ Цифровой помощник в ТГ — https://t.me/eregistratura_mo_bot

👉 Канал Минздрава Подмосковья в МАХ — https://max.ru/minzdravMO

Минздрав МО - пишем Разборчивым почерком
13:21 12-12-2025
Конфеты с алкоголем — чем опасна сладость?

🍬 Перед Новым годом конфеты с коньяком и ликёром снова становятся популярным подарком. Кажется, что это всего лишь безобидная конфетка, но это не так. Разбираемся в этом вопросе вместе с главным наркологом Подмосковья Виталием Холдиным.

👉 Особенно опасны такие сладости для детей. Даже несколько конфет могут вызвать головокружение, тошноту, боли в животе и рвоту. Алкоголь, пусть и в малых дозах, негативно влияет на неокрепший организм.

⚠️ Взрослым тоже нужно быть начеку : сочетание шоколада и алкоголя — серьёзная нагрузка на печень и поджелудочную железу. Также при поедании десерта резко повышается уровень сахара в крови.

❎ Кроме того, после употребления конфет с алкоголем нельзя садиться за руль, ведь это может привести не только к потере прав, но и к происшествию с летальным исходом.

Минздрав МО - пишем Разборчивым почерком
11:20 12-12-2025
🎆 МОНИКИ им. М.Ф. Владимирского исполнилось 250 лет!

👏 За два с половиной столетия МОНИКИ прошёл путь от небольшого лечебного учреждения до флагмана медицины Московской области и одного из крупнейших научно-клинических центров страны.

МОНИКИ сегодня — это ведущий многопрофильный центр, в котором ежегодно👇
✅ около 50 000 пациентов получают лечение в круглосуточном стационаре
✅ порядка 25 000 — в дневном стационаре
✅ более 350 000 человек обращаются за помощью в консультативно-диагностический центр.

⚠️ В МОНИКИ выполняются уникальные для Подмосковья операции, такие как трансплантация почек и печени, пересадка роговицы глаза, сложные вмешательства в области эндокринной и торакальной хирургии, а также кардиохирургии.

👨🏻‍⚕️ Особое внимание уделяется лечению опухолей головы и шеи, нейроонкологии и онкоурологии. В институте действует референсный центр, который проводит уникальные исследования и предоставляет пациентам с онкологическими заболеваниями возможность получения второго мнения.

❤️ Главное богатство МОНИКИ — это сотрудники института, каждый день возвращающие пациентам здоровье и надежду, сохраняющие традиции и двигающие медицину вперёд.

👉 Узнайте больше об истории МОНИКИ им. М.Ф. Владимирского в интервью директора института Константина Соболева изданию Vademecum.

Минздрав МО - пишем Разборчивым почерком
16:13 11-12-2025
Подмосковные хирурги спасли новорожденного с редким пороком легкого.

👉 На УЗИ в 27 недель врачи Щёлковского перинатального центра выявили у малыша кистозно-аденоматозную мальформацию лёгкого — опасное состояние, при котором часть органа не развивается и возникает риск тяжёлой дыхательной недостаточности.

👨🏻‍⚕️ Консилиум специалистов, в который вошли акушеры-гинекологи, врачи пренатальной диагностики и неонатологи-реаниматологи, разработал четкий план действий на все этапы: как вести беременность и роды девушки, а также как обследовать и оперировать младенца.

🤰🏻 Беременность удалось сохранить до 40 недель. В положенный срок мальчик весом 4200 гр и ростом 59 см появился на свет. Всё время подготовки к операции малыш находился с матерью и питался грудным молоком, что позволило ему максимально набраться сил.

👏 На 12-й день жизни специалисты провели операцию по удалению поражённой доли лёгкого. Вмешательство заняло около 1,5 часов и прошло успешно.

❤️ После операции малыш находился под круглосуточным наблюдением в реанимации новорождённых. На данный момент ребенок выписан домой, он чувствует себя хорошо и живет обычной жизнью.

Минздрав МО - пишем Разборчивым почерком
12:14 11-12-2025
Программа «Приведи друга» помогла привлечь 5️⃣9️⃣6️⃣ медицинских работников в Подмосковье в этом году.

Среди них 👇
✅ 243 врача
✅ 353 специалиста со средним медобразованием

❤️ Программа «Приведи друга» помогает не только привлекать в систему здравоохранения Подмосковья новых врачей, медсестер и фельдшеров, но и поддерживать действующих работников — за каждого привлеченного медика можно получить премию до 128 000 рублей.

💵 Размер выплаты зависит от специальности, категории и стажа привлеченного сотрудника, а сама премия начисляется в 2 этапа👇
🔘 50% — при трудоустройстве нового сотрудника
🔘 50% — после трёх месяцев работы

ℹ️ Узнать больше о мерах социальной поддержки медицинских работников можно здесь.

Минздрав МО - пишем Разборчивым почерком
11:02 11-12-2025
1️⃣0️⃣0️⃣ тысяч человек прошли реабилитацию в Подмосковье после перенесенных заболеваний.

Реабилитация после тяжелых заболеваний и травм помогает👇
✅ быстрее вернуть силы и привычный ритм жизни
✅ снизить риск осложнений и повторных госпитализаций

В Подмосковье отделения реабилитации работают в 4️⃣2️⃣ медицинских организациях. Они бывают 👇
🔘 в круглосуточных стационарах
🔘 в дневных стационарах
🔘 амбулаторно — в поликлиниках

👉 Восстановительное лечение проводится как детям, так и взрослым после болезней сердечно-сосудистой системы, опорно-двигательного аппарата, центральной нервной системы, органов дыхания, а также после получения тяжелых травм.

ℹ️ Пройти реабилитацию можно бесплатно — по направлению лечащего врача при наличии медицинских показаний.

Минздрав МО - пишем Разборчивым почерком
14:56 10-12-2025
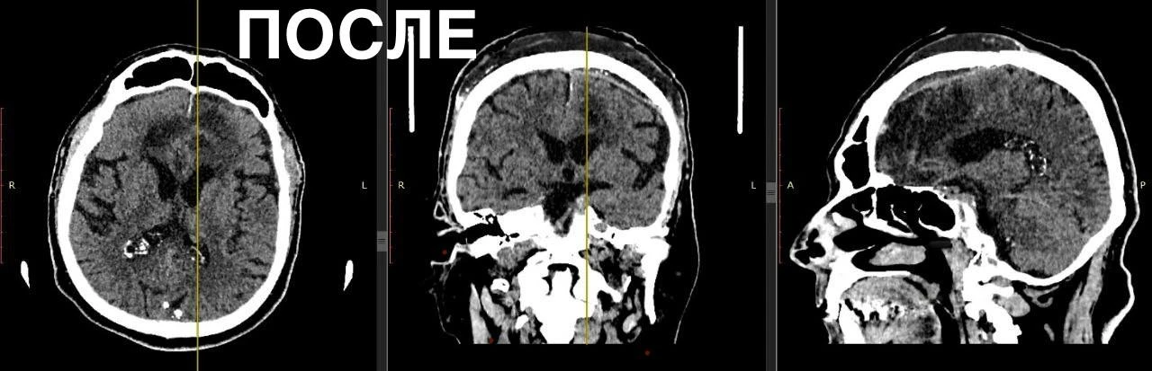
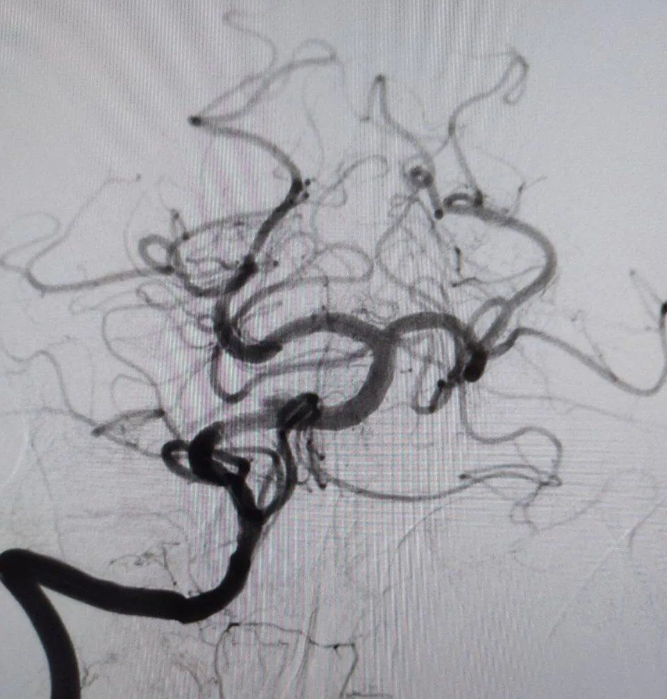
Остановили сердце, чтобы спасти — нейрохирурги МОНИКИ спасли пациента с опаснейшей аневризмой мозга.

🚨 66-летний мужчина поступил в институт с кровоизлиянием в головной мозг на фоне разрыва аневризмы. Счёт шел на минуты, требовалась срочная операция.

👨🏻‍⚕️ Эндоваскулярная операция была слишком рискованной, и врачи решили экстренно проводить открытую операцию, но ситуацию осложняло то, что аневризма находилась глубоко и могла повторно разорваться в любой момент, что грозило мужчине летальным исходом.

Чтобы предотвратить её разрыв прямо во время операции, нейрохирурги вместе с аритмологами применили редкую и крайне сложную тактику — контролируемую остановку сердечного выброса. Сердце ненадолго замедляли так, что кровоток почти прекращался.

⏲ У врачей было 50 секунд для ювелирной работы в условиях минимального кровотечения. На аневризму нейрохирурги наложили клипсы, подобные маленьким прищепкам. Они зажали шейку аневризмы и исключили ее из кровотока.

Операция прошла успешно. Мужчина уже готовится к выписке.

Минздрав МО - пишем Разборчивым почерком
13:23 10-12-2025
⚡️ Более 16,3 тыс. медработников в Подмосковье получают компенсацию за аренду жилья.

Среди них👇
🔘 5 600 человек — врачи
🔘 10 700 человек — средний медперсонал

👍 Это самая востребованная мера социальной поддержки среди медицинских работников региона, доступная в том числе и медицинским семьям.

💵 Размер ежемесячной выплаты зависит от городского округа, в котором работает сотрудник, и составляет👇
🔘от 20 до 30 тысяч рублей для медработника
🔘от 30 до 45 тысяч рублей для супругов-медиков

✍️ Получить компенсацию могут сотрудники, работающие по одной из 37 специальностей на полную ставку в медучреждении, подведомственном Минздраву Московской области, и не имеющие собственного жилья в регионе.

🔘 Подать заявку на получение компенсации аренды жилья можно через портал Госуслуг Московской области. Заявка рассматривается в течение 10 рабочих дней.

Минздрав МО - пишем Разборчивым почерком
11:29 10-12-2025
Санавиация Подмосковья выполнила почти 900 вылетов в этом году.

👏 В регионе работают 3️⃣ вертолета Национальной службы санитарной авиации. Они помогают быстро и без пробок доставить пострадавших в ДТП или других происшествиях в многопрофильный стационар, где им окажут всю необходимую медпомощь.

Каждый вертолет — летающая реанимация. На борту есть всё необходимое оборудование для поддержания функций организма пациента во время транспортировки.

За состоянием пациента в полёте следят опытные врачи-анестезиологи-реаниматологи и фельдшеры территориального центра медицины катастроф.

🎥 Хотите узнать больше о том, как работает санитарная авиация в Подмосковье? Смотрите выпуск Раскадровки с Михаилом Кирьяновым — врачом-анестезиологом-реаниматологом вертолётной бригады ТЦМК Московской области.

Минздрав МО - пишем Разборчивым почерком
16:58 09-12-2025
🟢В МОНИКИ им. М.Ф. Владимирского заработал новый аппарат МРТ.

Современный магнитно-резонансный томограф установлен в отделении лучевой диагностики института. Аппарат экспертного уровня позволяет 👇
✅ расширить возможности диагностики
✅ повысить качество и доступность исследований

👉 В этом году в МОНИКИ поступило уже 4 единицы тяжелой медтехники: новый МРТ и 3 рентген-аппарата.

ℹ️ Новый томограф закуплен в рамках нацпроекта «Продолжительная и активная жизнь».

Минздрав МО - пишем Разборчивым почерком
13:32 09-12-2025
🥶 «Не мороз, а симптом»: что на самом деле значит, если вы постоянно мерзнете?

👉 Разбираемся вместе с главным эндокринологом Подмосковья Инной Мисниковой.

⚠️ Если вы тот человек, который надевает три свитера, когда другим достаточно легкой кофты, обратите внимание! Это может быть важный сигнал, на который стоит обратить внимание.

🥶 Постоянная зябкость — частый признак нарушений работы эндокринной системы. Она сохраняется независимо от внешних условий и говорит о нарушении терморегуляции организма.

👉 Гипотиреоз — снижение функции щитовидной железы — одна из наиболее распространенных эндокринных причин зябкости. Организм начинает вырабатывать меньше гормонов тироксина и трийодтиронина, из-за чего👇
🔘 замедляется обмен веществ
🔘 уменьшается выработка энергии и тепла
🔘 температура тела может опускаться ниже 36,6°C
🔘 появляется повышенная чувствительность к холоду

👩🏻‍⚕️ Разобраться в том, индивидуальная это особенность или симптом заболевания, поможет доктор. Если чувствуете, что этот пост про вас, не откладывайте визит в поликлинику.

Минздрав МО - пишем Разборчивым почерком
10:45 09-12-2025
❤️❤️❤️ Декабрята — уже в Подмосковье!

🤩 В перинатальных центрах Подмосковья выписывают новорожденных в новогодних костюмах, красивых носочках и колпачках.

🎁 Это стало уже доброй традицией - подобная акция проводится в Московской области уже 5-й год подряд и вышла далеко за пределы региона.

🎄 Главный подарок под ёлку!

Минздрав МО - пишем Разборчивым почерком
15:55 08-12-2025
2️⃣1️⃣9️⃣ семей медработников в Подмосковье получают компенсацию за аренду жилья.

💵 Размер ежемесячной выплаты составляет от 3️⃣0️⃣ до 4️⃣5️⃣ тысяч рублей в зависимости от удаленности городского округа.

Какие условия получения? 👇

🔘 у медиков и их детей не должно быть собственного жилья в регионе, а также помещений коммерческого, социального и специализированного найма в пользовании

🔘 оба супруга должны работать на полную ставку в медорганизации Минздрава МО, расположенной в регионе

❕ Выплатой могут воспользоваться как врачи, так и средний медперсонал, в том числе фельдшеры, рентгенолаборанты и медсестры.

✅ Подать заявку на получение компенсации аренды жилья можно через портал Госуслуг Московской области. Заявка рассматривается в течение 10 рабочих дней.

Минздрав МО - пишем Разборчивым почерком
12:42 08-12-2025
🎆 Восьмое чудо семьи: в подмосковной семье родился долгожданный сын.

В Щелковском перинатальном центре 42-летняя женщина стала мамой в 8-й раз. У пары уже растут семь дочек, и теперь к ним присоединился долгожданный сын.

👨🏻‍⚕️ Все предыдущие роды у женщины проходили естественным путем, но в этот раз ребенок долго оставался в тазовом предлежании и не спешил менять позицию. Чтобы сохранить возможность естественных родов, на 38-й неделе беременности главный врач центра Андрей Пастарнак провел наружный акушерский поворот.

👏 Поворот прошел успешно, это позволило продлить беременность до 40-й недели. Малыш появился на свет естественным путем, как и мечтала мама, весом 4230 г и ростом 54 см. Его назвали Сергей.

Минздрав МО - пишем Разборчивым почерком
11:29 08-12-2025
⚡️ Масштабная кампания по вакцинации от гриппа завершилась в Подмосковье.

💉 За несколько месяцев прививку сделали более 4,7 млн человек, в том числе почти 1,2 млн детей.

✅ Если вы по каким-то причинам не успели защититься от гриппа, пройти вакцинацию можно в поликлинике по месту прикрепления до конца декабря.

Минздрав МО - пишем Разборчивым почерком
13:04 05-12-2025
Активные долголеты Подмосковья — в телемедицине!

📲 В этом году уже более 1 100 участников проекта «Активное долголетие» прошли обучение по использованию телемедицинских сервисов.

✅ Каждый третий уже даже получил свою первую онлайн-консультацию.

С помощью телемедицины жители Подмосковья могут👇
🔘 продлить электронный рецепт на льготные лекарства
🔘 получить разбор анализов или итогов диспансеризации
🔘 скорректировать лечение
🔘 проконсультироваться с врачом, не выходя из дома

🔗 Бесплатное обучение проводят сотрудники Минздрава и Минсоцразвития Подмосковья — любой желающий может подойти и задать вопросы лично.

🙃 Устанавливайте приложение РТ ДокторОнлайн и пользуйтесь телемедициной!

Минздрав МО - пишем Разборчивым почерком
11:31 05-12-2025
получили медицинскую помощь в стационарах кратковременного пребывания.

📍 Такие отделения появились в больницах региона в этом году. Проект стартовал весной с нескольких учреждений, а сегодня — стационары кратковременного пребывания есть в 5️⃣8️⃣ больницах.

ℹ️ В СКП обращаются пациенты, которым не требуется длительная госпитализация: пациент приходит утром, проходит лечение или операцию и уже вечером возвращается домой.

👍 Такой формат экономит время, силы и позволяет лечиться без отрыва от жизни.

Минздрав МО - пишем Разборчивым почерком
16:45 04-12-2025
🟢 Новый пост скорой помощи заработал в Сергиевом Посаде.

📍 В Хотьково на территории больничного комплекса, открытого в этом году, начал работать пост скорой помощи.

🚑 Круглосуточно здесь дежурят 2️⃣ бригады скорой, которые обслуживают 9 ближайших населённых пунктов.

В новом посту👇
✅ современное оснащение для оперативных выездов
✅ кухня и отдельные комнаты отдыха для сотрудников
✅ тёплый гараж для машин скорой

ℹ️ Напомним, больничный комплекс построен по программе «Модернизация первичного звена здравоохранения»

Минздрав МО - пишем Разборчивым почерком
13:14 04-12-2025
⚡️ Офтальмохирурги Центра Рошаля впервые в Подмосковье выполнили лечение глаукомы с помощью микроимпульсного лазера.

👁 Это редкое, но серьезное заболевание глаз, которое возникает у детей из-за неправильного развития дренажной системы глаза еще до или вскоре после рождения.

🚑 В ДНКЦ им. Л.М. Рошаля с такой патологией поступили девочка 8 лет и мальчик 6 лет — у них обоих глаукома была врожденная.

👨🏻‍⚕️ В ходе операции врачи аккуратно воздействовали микроимпульсами лазера на проблемную зону глаза, что позволило снизить внутриглазное давление и сохранить зрение маленьким пациентам. Такая операция длится 20 минут.

👏 Сейчас с детьми всё хорошо, они быстро восстановились после операции и были выписаны.

Минздрав МО - пишем Разборчивым почерком
10:21 04-12-2025
⚡️ Как записаться на приём в поликлинику? Лидия Нейроновна знает все способы, ну почти.

❤️ Сохраняйте, чтобы не потерять.

Минздрав МО - пишем Разборчивым почерком
15:22 03-12-2025
⚡️ Нельзя садиться на диету перед Новым годом — диетолог Подмосковья.

👉 В преддверии Нового года многие решают срочно сесть на диету, чтобы влезть в любимое платье или костюм. Разбираемся, чем это грозит, вместе с главным диетологом Подмосковья Инной Пичугиной.

❎ Строгая диета перед праздником — популярная, но опасная тактика. Она может навредить не только фигуре, но и иммунитету.

⚠️ Главная опасность — последующий срыв. Когда организм долго не получает нужных веществ, он «включает тревогу» — отсюда неконтролируемое желание сладкого, жирного или солёного.

👍 Полноценный завтрак, обед и ужин в преддверии праздников — самая надежная защита от таких срывов. Не создавайте искусственный дефицит, и тогда у вас не будет желания наверстать упущенное в новогоднюю ночь.

🛡 Иммунитету тоже требуется сбалансированное питание👇
🔘белки — основа для антител
🔘жиры — для работы иммунных клеток
🔘витамины А и С, цинк и магний, пробиотики — помогают поддерживать пищеварение и ваше здоровье.

Минздрав МО - пишем Разборчивым почерком
14:02 03-12-2025
⚡️⚡️ Подведён итог профессиональной премии медработников Подмосковья!

Победителями конкурса стали 👇
👏 60 «Подмосковных врачей» — они получат премию по 300 000 рублей
👏 30 «Подмосковных фельдшеров», «Подмосковных медсестер/медбратьев» — они получат премию по 200 000 рублей

🖥 Испытания проходили в несколько этапов: компьютерное тестирование, практические задания и решение ситуационных задач. Под каждую специальность были разработаны отдельные оценочные задания.

👉 Полный список победителей можно найти здесь.

🎆 Поздравляем победителей и с нетерпением ждём новой премии и новых побед!

Минздрав МО - пишем Разборчивым почерком
16:33 02-12-2025
10 часов операции: в Люберцах врачи спасли мужчину от инсульта и ампутации ноги.

В сосудистое отделение Люберецкой больницы поступил 65-летний мужчина с ужасной болью в ноге, которая не давала ему ни спать, ни ходить.

👉 В ходе обследований врачи обнаружили у него критическую ишемию на фоне обширного атеросклероза — состояние, напрямую угрожавшее потерей конечности. Вдобавок сужение сонной артерии грозило пациенту большой вероятностью инсульта.

👨🏻‍⚕️ Сосудистые хирурги разделили лечение на два сложнейших этапа👇
🔘 сначала они провели реконструкцию сосудов шеи и предотвратили неминуемый инсульт
🔘 затем, в ходе 10-часовой гибридной операции, восстановили кровоток в ноге, удалили бляшки и установили стент

👁 Еще сутки после операции за состоянием пациента непрерывно наблюдали врачи в условиях реанимации, после чего перевели в палату.

👏 Результат: пациент спасен от инсульта и ампутации. Боль ушла, он снова может ходить и уже готовится к выписке.

Минздрав МО - пишем Разборчивым почерком
15:19 02-12-2025
🤱🏻 Грудное вскармливание без тревог: как в Подмосковье помогают новоиспеченным мамочкам наладить питание новорожденного.

❤️ В перинатальных центрах и роддомах Московской области работает сеть бесплатных центров грудного вскармливания.

Специалисты центров 👇
🔘 учат правильно прикладывать малыша
🔘 объясняют технику комфортного кормления
🔘 помогают наладить лактацию
🔘 отвечают на самые «волнующие» вопросы, которые не всегда задашь даже врачу
🔘 поддерживают эмоционально — особенно важно в первые недели после родов

ℹ️ Обучение бесплатное — и во время пребывания в роддоме, и после выписки.

📈 Только в этом году в таких школах прошли обучение более 4️⃣3️⃣тысяч женщин.

📲 Узнать больше о системе родовспоможения в регионе можно на портале «Стань мамой в Подмосковье» или по телефону контакт-центра 8(800)550-30-03.

Минздрав МО - пишем Разборчивым почерком
14:22 02-12-2025
⚡️ Записаться к врачу в Подмосковье можно через мессенджер MAX.

📲 В МАХ появился чат-бот Денис, позволяющий пользоваться медицинскими сервисами.

Через цифрового помощника можно👇
✅ записаться на очный приём и телемедицинскую консультацию
✅ вызвать врача на дом
✅ найти ближайший травмпункт
✅ заказать электронную справку
✅ проверить свои записи

📲 Цифровой помощник в МАХ — https://max.ru/eregistratura_mo_bot
☎️ Цифровой помощник в ТГ — https://t.me/eregistratura_mo_bot

👉 Кстати, подписывайтесь на канал Минздрава Подмосковья в МАХ — https://max.ru/minzdravMO

Минздрав МО - пишем Разборчивым почерком
16:44 01-12-2025
⚡️ Новогодние украшения могут вызвать аллергическую реакцию? Как не получить приступ астмы при украшении квартиры?

👉 Разбираемся вместе с аллергологом-пульмонологом Красногорской больницы Еленой Пятиковой.

🎄 Искусственная ёлка — источник раздражителей. Современные ёлки чаще всего делают из ПВХ или полиэтилена. При перепадах температур они могут выделять мелкие частицы пластика, а после года хранения — покрываться пылью и спорами плесени.

Рекомендации👇
✅ перед установкой промойте ветки тёплой водой или протрите влажной тканью и хорошо просушите
✅ храните елку в герметичном контейнере или пакете, а не в картонной коробке

❄️ Искусственный снег, блёстки и ароматические свечи — коктейль из растворителей, пропеллентов и синтетических отдушек. У чувствительных людей они могут вызвать раздражение слизистых, приступ кашля, мигрени и обострение аллергического ринита или астмы.

Рекомендации👇
✅ избегайте использования аэрозолей в жилых комнатах, особенно в детских
✅ выбирайте декор без запаха
✅ обязательно проветривайте помещение

✨ Слишком яркие или «стробоскопические» гирлянды могут спровоцировать головную боль, перенапряжение глаз, перевозбуждение у детей и проблемы со сном.

Рекомендации👇
✅ отдавайте предпочтение мягкому, постоянному свечению
✅ на ночь выключайте всю подсветку

👏 Следуйте простым рекомендациям и в вашем доме атмосфера будет одновременно праздничная и безопасная!

Минздрав МО - пишем Разборчивым почерком
12:18 01-12-2025
Переслано:
Наша очаровательная Зубная Фея приглашает жителей Подмосковья на прием к стоматологу.

🦷 Чтобы записаться через смотровой кабинет:

1️⃣ Найдите нужную поликлинику и выберите «Смотровой кабинет» на портале «Госуслуги» Московской области.

2️⃣ Введите номер полиса ОМС и дату рождения.

3️⃣ В разделе «Запись к врачу» в поиске по специальностям укажите «стоматология».

4️⃣ Выберите нужную стоматологическую специализацию.

5️⃣ Найдите свою поликлинику и подходящий кабинет (они могут отличаться в разных учреждениях).

6️⃣ Выберите удобную дату и время и подтвердите запись.

Другие способы записи:

🔵по номеру 122;
🔵через инфомат в поликлинике;
🔵лично в регистратуре.

⌛ Ожидание планового визита обычно составляет от 1 до 5 дней.

Приходите на прием за 10–15 минут до назначенного времени.
10:37 01-12-2025
1 декабря — Всемирный день борьбы со СПИДом. Что нужно знать про ВИЧ и СПИД?👇

🔹 Проверяться на ВИЧ нужно минимум раз в год — даже, если вам кажется, что риск инфицироваться у вас близок к 0%.

🔘 Тест на ВИЧ проводится быстро, бесплатно и полностью анонимно. Пройти его можно в любой поликлинике Подмосковья и Центре по профилактике и борьбе со СПИДом

📈 За 3 года заболеваемость ВИЧ-инфекцией в Московской области снизилась на 10,6%.

✅ Если выявить болезнь вовремя и начать курс лечения, то качество и длительность жизни сохранятся. Более того, с ВИЧ-инфекцией можно иметь здоровых детей.

🤝 ВИЧ-инфекция не передается при рукопожатии, объятии и даже поцелуе.

Минздрав МО - пишем Разборчивым почерком
11:30 30-11-2025
❤️ Мама — человек-оркестр👇

🔘 Жанна Дебольская — хирург-офтальмолог, заведующая офтальмологическим отделением Дубненской больницы и по совместительству многодетная мама троих чудесных дочерей: Дарьи, Марьи и Александры. Юные леди, быть может, не слишком часто видят маму дома, но 1000% гордятся её профессией, ведь каждый день Жанна возвращает людям зрение и радость видеть мир яснее и ярче.

🔘 Людмила Игнатова — врач-педиатр в Егорьевской больнице. На работе Людмила помогает другим деткам быть здоровыми, а дома она — мама 4 детей: троих дочерей и одного сына.

🎆 Дорогие мамы, спасибо, что вы у нас есть!

Минздрав МО - пишем Разборчивым почерком
11:08 30-11-2025
Каждый день они спасают и лечат, а после смены спешат домой, где их ждут самые важные маленькие пациенты на свете.

Поздравляем всех причастных с Днём матери и знакомим с врачами и медсестрами Подмосковья, которым удается совмещать две самые сложные профессии в мире: материнство и медицину.

❤️ Мама — главный пример 👇

🔘 Зинаида Любомирова работает медсестрой гинекологического отделения Дубненской больницы уже 37 лет. Любовь к медицине она передала и дочке Татьяне Мусихиной, которая продолжила семейную традицию и стала замечательным врачом-педиатром.

🔘 Валентина Труммель — перевязочная медсестра областной детской клинической травматолого-ортопедической больницы. Валентина не только связала свою жизнь с больницей, отработав здесь более 40 лет, но и встретила в ней мужа, с которым у них появился на свет сын Георгий. Он в чём-то пошёл в папу — стал травматологом-ортопедом в МОДКТОБ, а кое в чём в маму — встретил в этой больнице свою вторую половину.

🔘 Елена Кузьмина — главная медсестра Дубненской больницы, её мама и бабушка тоже работали в медицине, поэтому Елена с детства знала, кем хочет стать. Любовь к профессии она передала и своей дочери, которая пошла по стопам мамы и сейчас работает старшей медицинской сестрой детской поликлиники в Дубне.

🔘 Ася Ткачук работает детским стоматологом в Домодедовской стоматологической поликлинике. Она тоже пошла в профессию по стопам своей мамы Елены Воронцовой, имеющей за плечами более 35 лет стажа по той же специальности. Ася признается, что в детстве часто бывала у мамы на работе — там всегда было стерильно чисто, пахло лекарствами и антисептиками. Этот запах до сих пор окунает её в детство. Подрастающий 4-летний сын Аси тоже осваивает азы семейной профессии, ведь врачебный набор — одна из его любимых игрушек.

🔘 Сестры-близнецы Валентиная Мирзоева и Кениз Расулова неразлучны с детства: обе отучились на медсестер в Егорьевском колледже и пришли работать в Егорьевскую больницу. Они даже мамами стали почти одновременно — их дети сейчас учатся на втором курсе медицинского учреждения и хотят продолжить медицинскую династию в семье.

🔘 Светлана Смирнова — медсестра детской поликлиники Егорьевской больницы. В этом году она отметила сразу 2 праздника: 35 лет работы (все в Егорьевской больнице) и выпускной дочки Татьяны Смирной из медколледжа, которая тоже пришла работать в Егорьевскую больницу медсестрой. Татьяна признаётся, что любовь к профессии ей привила мама.

Минздрав МО - пишем Разборчивым почерком
09:20 30-11-2025
Мама — слово, за которым скрываются круглосуточная ответственность, ночи без сна, первые шаги и слова, моменты счастья, радости, горя, боли, вкусных завтраков, обедов и ужинов, сказка на ночь, целебные поцелуи и объятия, терпение, забота, поддержка, безграничная любовь, счастье, пример для подражания и главный человек в жизни каждого ребенка

Мама — это призвание. У мамы нет выходных, праздников и даже перерывов. Мама всегда находит силы и время даже тогда, когда их, кажется, уже не осталось.

❤️ Поздравляем всех мам Подмосковья с праздником!

📹 В преддверии Дня мамы мы узнали, что значит материнство для людей, которые первыми встречают новую жизнь и помогают стать мамами сотням женщин каждый день — у сотрудников Московского областного перинатального центра.

Минздрав МО - пишем Разборчивым почерком
12:50 28-11-2025
2️⃣9️⃣4️⃣ здоровых малыша родилось у родителей с ВИЧ в Подмосковье в этом году.

👍 Возможности современной медицины позволяют снизить риск передачи инфекции ребёнку к нулю, если будущая мама соблюдает рекомендации врачей.

⚠️ Пройти обследование на ВИЧ нужно ещё на этапе планирования беременности

Что важно для беременной с ВИЧ 👇
🔘своевременно встать на учет в женской консультации
🔘принимать антиретровирусную терапию — это ключевой этап защиты малыша
🔘наблюдаться у специалистов Центра по профилактике и борьбе со СПИДом на протяжении всей беременности и после родов

ℹ️ Малышей врачи наблюдают до 1,5 лет, после чего диагноз снимается.


Минздрав МО - пишем Разборчивым почерком
10:16 28-11-2025
😱 Пришла отметка о прохождении диспансеризации? Не спешите удивляться!

ℹ️ Если вы в течение года были на приёме у врача, проходили лечение в стационаре или сдавали часть нужных анализов, система автоматически засчитывает это как первый этап диспансеризации. Поэтому отметка появляется даже без отдельного визита.

👍 Ваш лечащий врач видит результаты этих исследований — если что-то требует внимания, он направит вас на дополнительные обследования.

📲 Проверить отметку и получить доступ к своей электронной медкарте можно в личном кабинете на портале «Здоровье». Необходимо пройти полную авторизацию.

Минздрав МО - пишем Разборчивым почерком
16:59 27-11-2025
Подмосковные врачи избавили 3-летнего мальчика от шестого пальца на руке.

🏥 Родители с ребенком обратились в областную детскую клиническую травматолого-ортопедическую больницу из-за врожденной аномалии развития кисти — у маленького пациента рос добавочный палец, вызывая как физические, так и психологические трудности.

👨🏻‍⚕️ После полного обследования врачи провели реконструктивную операцию ребенку, в ходе которой аккуратно удалили добавочный палец и сформировали правильное анатомическое строение сустава. Функциональность кисти полностью сохранилась.

🖐 Операция прошла успешно. Мальчика выписали на амбулаторное лечение, позже ему предстоит плановое удаление металлоконструкции, после чего он сможет забыть об аномалии, с которой появился на свет.

Минздрав МО - пишем Разборчивым почерком
13:07 27-11-2025
⚡️ Бесплатный онкоскрининг в Подмосковье — уже в эту субботу!

🔈 29 ноября в Центрах амбулаторной онкопомощи Подмосковья пройдет день открытых дверей — жители региона смогут быстро и бесплатно пройти обследование и проконсультироваться с врачами-онкологами.

Что можно пройти в рамках дня открытых дверей?👇
🔘 диагностику новообразований кожи
🔘 диагностику органов дыхания
🔘 диагностику желудочно-кишечного тракта

➕ для женщин
🔘 маммография или УЗИ молочных желез

➕ для мужчин
🔘 ПСА

📍 Прийти можно в любой из 2️⃣5️⃣ ЦАОПов с 9:00 до 14:00. Найти ближайший можно здесь.

💬 С собой нужны паспорт, полис ОМС, СНИЛС и результаты предыдущих обследований для консультации с врачом (при наличии).

Минздрав МО - пишем Разборчивым почерком
16:29 26-11-2025
🟢 Новая детско-взрослая поликлиника открылась в Лосино-Петровском.

📍 Она расположена в микрорайоне Лукино-Варино (ул. Заводская, 20А) и рассчитана на 600 посещений в день.

Что внутри?👇
🔘 новое оборудование, включая рентген и флюорограф
🔘 отдельный вход для пациентов с ОРВИ
🔘 кабинеты телемедицины и выписки льготных рецептов
🔘 игровые зоны, комната матери и ребёнка
🔘 комфортные места ожидания приёма

👩🏻‍⚕️👨🏻‍⚕️ Приём ведут: терапевты, педиатры, ЛОР, офтальмолог, хирурги, стоматолог, эндокринолог, гастроэнтеролог, кардиолог, акушеры-гинекологи, уролог, травматолог-ортопед.

📲 Записаться в поликлинику можно через портал «Здоровье», чат-бот в телеграме, инфомат в самой поликлинике или по телефону 1️⃣2️⃣2️⃣.

Минздрав МО - пишем Разборчивым почерком
12:22 26-11-2025
📈 Больницы Подмосковья продолжают оснащать современным медицинским оборудованием — с начала года в учреждения поступили более 470 систем для мониторинга состояния пациентов и наркозно-дыхательных аппаратов.

Такое оборудование используется в 👇
🔘 отделениях реанимации и интенсивной терапии
🔘 операционных и послеоперационных
🔘 и других подразделениях, где требуется непрерывный мониторинг состояния пациентов или проведение анестезии и вентиляции лёгких

Современные системы позволяют повысить качество и безопасность лечения пациентов.

✅ Мониторы пациента фиксируют жизненно важные показатели в режиме реального времени и позволяют врачам быстро реагировать на любые изменения.

✅ Новые наркозно-дыхательные аппараты повышают безопасность проведения анестезии и обеспечивают полноценную вентиляцию лёгких тем, кому она необходима.

ℹ️ Оборудование закуплено по нацпроекту «Продолжительная и активная жизнь».

Минздрав МО - пишем Разборчивым почерком
13:47 25-11-2025
Более 3️⃣0️⃣0️⃣ врачей-целевиков пополнили поликлиники и больницы Подмосковья в этом году.

‍🎓 Московская область сотрудничает с ведущими медвузами страны👇
🔘 МГМУ им. И.М. Сеченова
🔘 РНИМУ им. Н.И. Пирогова
🔘 Российским университетом медицины
🔘 Рязанским и Тверским государственными медицинскими университетами
🔘 Санкт-Петербургским государственным педиатрическим медицинским университетом и другими образовательными учреждениями

👍 Целевое обучение — не только возможность поступить в желаемый ВУЗ, но и гарантированное трудоустройство после выпуска. Получив нужные знания, дипломы и сертификаты, молодые врачи становятся бок о бок с более опытными коллегами на стражу здоровья жителей региона.

📈 В этом году в Подмосковье уже вышли работу 102 врача после программ специалитета и 199 — после ординатуры.

Среди них👇
👩🏻‍⚕️ педиатры
👨🏻‍⚕️ терапевты
👩🏻‍⚕️ врачи приёмного отделения
👩🏻‍⚕️ педиатры
👨🏻‍⚕️ терапевты
👩🏻‍⚕️ врачи приёмного отделения

Минздрав МО - пишем Разборчивым почерком
16:41 24-11-2025
🟢 В Одинцово открылся полностью обновлённый после комплексного ремонта хирургический корпус.

🛠 Масштабный ремонт длился с весны 2023 года, за это время здание корпуса перестроили практически с нуля, превратив его в современный и высокотехнологичный центр хирургической помощи.

Теперь здесь👇
✅ 179 коек круглосуточного пребывания
✅ 5 операционных
✅ современное медоборудование — МРТ, КТ, рентген-аппараты

🏥 В корпусе расположены травматологическое, гинекологическое, урологическое, хирургическое, нейрохирургическое и многопрофильное отделения.

👍 Предусмотрены одно-, двух-, трех- и четырехместные палаты — в каждой оборудованы душевые и санузлы, система кондиционирования, а возле кровати — кнопки вызова медперсонала.

Минздрав МО - пишем Разборчивым почерком
13:54 24-11-2025
📈 Прививку от гриппа в Подмосковье сделали уже более 4,5 млн человек.

🔘 Прививочная кампания скоро завершится, но еще есть время подготовить свой организм к встрече с опасным вирусом гриппа — пройти вакцинацию.

💉 Сделать прививку можно👇
✅ в поликлинике по месту прикрепления
✅ в мобильных комплексах (найти ближайший можно тут)
✅ детям — прямо в школах и детских садах

👉 Перед прививкой врач проводит осмотр и допускает к вакцинации только при отсутствии противопоказаний.

Минздрав МО - пишем Разборчивым почерком
12:39 24-11-2025
🧶 Минздрав Подмосковья — в уютном вязаном тренде!

За вязаную хирургичку отдельный ❤️

Минздрав МО - пишем Разборчивым почерком
11:07 24-11-2025
✍️ Знакомьтесь, народные доктора Подмосковья!

🔘 Ежегодный конкурс «Народный доктор» проводится на портале Добродел — жители региона сами голосуют за любимых докторов, определяя лучших детских и взрослых врачей любой специальности.

По итогам голосования победительницами стали👇

🩺 Елизавета Карпович — врач-терапевт участковый Ногинской больницы

🩺 Виктория Мирошникова — врач-детский хирург Видновской больницы

❤️ Елизавету и Викторию выбрали тысячи жителей Подмосковья — пациенты, которым врачи помогли вылечить заболевания и пройти трудные моменты. За победу в конкурсе они получат денежные призы. Поздравляем!

Минздрав МО - пишем Разборчивым почерком
17:24 20-11-2025
Риски – минимум, точность – максимум: как в регионе лечат сосуды

🏥 В подмосковные больницы поступило 18 систем внутрисосудистой визуализации. Это высокоточные аппараты, которые становятся «глазами» хирурга прямо внутри сосуда во время операции.

Результат: врачи могут проводить сложнейшие манипуляции, например, стентирование, с максимальной точностью и минимальными рисками для пациента.

📍Новая техника уже работает в Жуковской, Люберецкой, Королёвской, Мытищинской, Воскресенской, Дмитровской, Долгопрудненской, Домодедовской, Егорьевской, Красногорской, Подольской, Сергиево-Посадской и других больницах.

Оборудование на сумму более 430 млн закуплено благодаря нацпроекту «Продолжительная и активная жизнь».

Минздрав МО - пишем Разборчивым почерком
17:23 19-11-2025
🤔 «Ночной инсульт»: как распознать невидимую угрозу

48-летнему жителю Подмосковья стало плохо ночью, а утром он не смог встать с кровати. Не было ни паралича, ни проблем с речью — только головокружение и тошнота.

🚑 Бригадой скорой помощи он был доставлен в Региональный сосудистый центр Мытищинской больницы. В ходе обследования врачи диагностировали закупорку основной артерии, обеспечивающий кровоснабжение важнейших отделов головного мозга.

Это очень тяжелое состояние с крайне высокой летальностью.
Экстренно пациенту провели операцию, в ходе которой удалили тромб, а также установили стент.

❤️ После лечения мужчину выписали на амбулаторное лечение.

ℹ️ Запомните тревожные симптомы, которые нельзя игнорировать:
🔘 повторяющееся головокружение
🔘 шаткость при ходьбе
🔘 тошнота

Если у человека проявляется хотя бы один из них, срочно звоните по номеру 112.

Минздрав МО - пишем Разборчивым почерком
15:41 18-11-2025
😱 «Пломба-путешественница»: как стоматологический материал едва не навредил здоровью жительницы Подмосковья

Представьте: у вас постоянно болит щека и не дышит нос, а причина оказывается совсем не там, где вы думали. Именно так произошло с 45-летней пациенткой Видновской больницы. КТ показало, что в ее верхнечелюстной пазухе находится фрагмент зубной пломбы!

🦠 Эта «пломба-путешественница» стала рассадником грибковой инфекции.

Врачи провели эндоскопическую операцию, в ходе которой сначала удалили грибок, а после – виновника всех бед — пломбировочный материал. Для быстрого заживления пазуху промыли антисептическими растворами.

👏 Сейчас пациентка чувствует себя хорошо, ее уже выписали.

Специалист предупреждает: без лечения это безобидное на первый взгляд инородное тело могло привести к хроническому воспалению, распространению инфекции и повреждению кости. Не затягивайте с визитом к ЛОР-врачу, если вас что-то беспокоит!

Минздрав МО - пишем Разборчивым почерком
15:09 17-11-2025
📈 Свыше 4 млн человек привились от гриппа в Подмосковье

В регионе кампания по вакцинации движется к завершению — те, кто пока не поставил прививку, ещё могут успеть это сделать. Используемая вакцина надежно защищает от всех штаммов гриппа.

💉 дети могут привиться в детских поликлиниках, детских садах и школах

💉 взрослые – во взрослых поликлиниках, а также в мобильных комплексах, которые работают в самых проходимых местах городов (график их работы на ноябрь можно найти здесь)

👉 Перед прививкой врач проводит осмотр и допускает к вакцинации только при отсутствии противопоказаний.

Минздрав МО - пишем Разборчивым почерком
13:05 17-11-2025
💗  Почти 3,5 тысячи торопыжек спасли неонатологи в Подмосковье в этом году 
👼 Сегодня, 17 ноября, отмечается Международный день недоношенных детей. Врачи Московской области поделились важной статистикой: 
❤️ С января им удалось спасти почти 3,5 тысячи малышей, родившихся раньше срока
❤️ Среди них – 191 ребенок с экстремальной и очень низкой массой тела (меньше 1,5 кг). Каждый из них – настоящий борец!
👏 Это стало возможным благодаря профессионализму врачей-неонатологов Подмосковья и новейшему оборудованию, установленному в перинатальных центрах региона. 
Подробнее о системе родовспоможения в Подмосковье – на портале "Стань мамой в Подмосковье".
14:16 14-11-2025
Всемирный день борьбы с сахарным диабетом — всё, что должен знать каждый.

Основные виды сахарного диабета: 1-го и 2-го типов. Они существенно отличаются👇
🔘 Диабет 1-го типа чаще всего диагностируется у детей и молодых людей. Иммунная система ошибочно уничтожает клетки поджелудочной железы, и организм перестает вырабатывать инсулин. Это пожизненное состояние, требующее постоянной инсулинотерапии
🔘 Диабет 2-го типа развивается обычно у взрослых, особенно при избыточном весе. Инсулин вырабатывается, но клетки перестают на него реагировать. Главный фактор риска — лишний вес

ℹ️ Диабет 1-ого типа нельзя вылечить, но при правильном лечении и регулярном контроле уровня глюкозы люди могут жить долго, активно и без осложнений.

👉 Сахар сам по себе не вызывает диабет, но есть одно но. Его избыток в рационе способствует развитию ожирения, а это — один из ключевых факторов риска диабета 2-го типа.

✅ На ранних этапах изменить течение сахарного диабета 2-ого типа реально — для этого нужно нормализовать питание, худеть, больше двигаться и соблюдать рекомендации врача. Профилактика заболевания проста👇
🔘 регулярные физические нагрузки
🔘 здоровое питание и контроль веса
🔘 соблюдение режима дня

👍 Сахарный диабет — не приговор. Осознанный подход к здоровью, внимание к сигналам организма и поддержка специалистов помогают держать заболевание под контролем и предотвращать осложнения.

❤️ Полезной информацией поделилась главный внештатный детский эндокринолог Подмосковья Валентина Шестерикова

Минздрав МО - пишем Разборчивым почерком
16:07 13-11-2025
2-летнего мальчика с опасным внутричерепным абсцессом спасли нейрохирурги ДНКЦ им. Л.М. Рошаля.

🤧 У Миши (имя изменено) всё началось с обычной простуды, которую родители лечили дома самостоятельно. Но вскоре состояние ребенка резко ухудшилось: появилась сильная слабость, он отказался от еды, а мышцы потеряли тонус. Затем случился судорожный приступ — и родители сразу вызвали скорую помощь.

Мальчик попал в руки врачей ДНКЦ им. Л.М. Рошаля, которые в ходе обследований обнаружили у него крупный внутричерепной абсцесс объемом более 80 мл. Точную причину его появления назвать сложно, но в большинстве случаев причиной становится осложнение после воспалительных заболеваний уха или носоглотки, особенно при неправильном или несвоевременном лечении.

👨🏻‍⚕️ Без срочной операции абсцесс мог привести к необратимому повреждению мозга, параличу, эпилепсии или даже гибели. Нейрохирурги центра провели дренирование: определили точное расположение гнойника, аккуратно вскрыли его, удалили скопившийся гной и установили дренаж для дальнейшего оттока.

❤️ Операция прошла успешно. Маленький пациент Миша чувствует себя хорошо и уже выписан домой.

Минздрав МО - пишем Разборчивым почерком