Логотип

ТГУ | Томский государственный университет

• Первый в Сибири
• В топ-100 лучших вузов мира

Студенческий канал ТГУ
Подписчики
760
За 24 часа
+25
14:01 17-04-2026
А что по науке? #Научныйобзор 🧑‍💻

Каждую неделю мы собираем для вас сводку новостей науки в ТГУ 🏫

Что интересного на этой неделе?

• ТГУ вновь лидер по числу премий Областной думы для молодых ученых | читать
• Студент ВИША ТГУ разрабатывает прибор для контроля дымности машин в АПК | читать
• ТГУ представил в Минобрнауки РФ проект УГС «Гуманитарные науки и языки» | читать
• Ученые ТГУ описали бактерию, «застывшую» во времени, и нашли её родственника | читать
• Эксперты ТГУ объясняют, почему весной на реках РФ возникают ледовые заторы | читать
• В ТГУ академики РАО оценили потенциал VR-технологий в образовании | читать
• ВИША ТГУ и «Артлайф» выпустили 16 биотехнологов для предприятий страны | читать
• Кадры для химии – с учетом инвестпроектов и потребностей регионов | читать
• ТГУ запустил новую версию медиапроекта «Александровский бульвар»| читать
• Студенты ФИТ ремонтируют беспилотники для центров БАС в томских школах | читать
• Химики ТГУ описали новые подходы к созданию «умных» тканей | читать
• Эксперт ТГУ: в рекордно снежной зиме в Сибири «виноваты» два океана | читать
• ТГУ и НовГУ помогут вузам России внедрить ИИ в управленческие процессы | читать
12:16 17-04-2026
Приглашаем на фестиваль «Мы в России» в честь юбилея центра довузовской подготовки ТГУ

Вас ждут выступления наших талантливых выпускников и студентов из разных стран мира 💙

Когда: 21 апреля в 17:00 (вторник)
Где: актовый зал ТГУ (2 этаж, главный корпус)

Вход свободный для студентов и сотрудников ТГУ
10:55 17-04-2026
Говорить на одном языке 🌎

Более 20 лет назад при филологическом факультете ТГУ появилось отделение для обучения русскому языку иностранцев, желающих поступить в вузы России. Со временем было принято решение организовать центр, где слушатели, помимо русского, обучаются и другим предметам.

Директор Центра довузовской подготовки ТГУ Дарья Тараканова в интервью университетской газете Alma Mater рассказала:
• кому легче дается русский язык?
• как иностранцев знакомят с русской культурой?
• что объединяет жительниц далеких стран и русских красавиц?

Читать интервью
08:26 17-04-2026
Вуз или колледж? 🧐

Где можно получить профессию, востребованную на реальном рынке труда? Какая зарплата у выпускника университета?

Разбираемся с руководителем приёмной комиссий ТГУ Анной Коршуновой! Смотрите наш короткий (5 минут), но очень полезный эфир ПО ССЫЛКЕ
05:04 17-04-2026
Студенты ФИТ дали вторую жизнь школьным дронам в стенах родного вуза 🛠️

В студенческом КБ «ГеосканТОМСК» будущие инженеры провели полную диагностику и ремонт беспилотников, которые томские школы используют в своих образовательных программах. 👏

— В процессе работы ребята учатся диагностировать, грамотно устранять неисправности и проводить профилактическое обслуживание устройства, — рассказала заместитель декана ФИТ ТГУ по учебной работе Наталья Нестерова. — Это уникальная возможность для студентов применить свои знания на практике и внести реальный вклад в развитие образования региона.

Томский госуниверситет дает студентам реальную практику и активно сотрудничает с научными, образовательными и производственными организациями по всей России. Проект ФИТ ТГУ направлен на развитие технических навыков студентов, а также на поддержку образовательных учреждений региона, которые используют беспилотники компании «Геоскан» в учебных целях.

Фото: ФИТ ТГУ
13:39 16-04-2026
Снег и холода не хотят уходить из ТГУ ❄️

Прогоним их реакциями 🔥 и ❤️?
13:37 16-04-2026
Пост удален
12:49 16-04-2026
16 биотехнологов ТГУ для предприятий страны ⚡️

ВИША ТГУ вместе с крупной компанией «Артлайф» выпустили первых 16 студентов программы «Промышленная биотехнология: от идеи до препарата».

Теперь эти ребята умеют создавать новые вещества, продукты и улучшать технологии. А на современном промышленном рынке потребность в таких квалифицированных специалистах — только растет ↗️

Директор Образовательного центра ВИША ТГУ Екатерина Бойко:

— Биотехнологии сегодня — одна из самых популярных сфер. Благодаря федеральному проекту «Передовые инженерные школы» мы объединили усилия университета, промышленного партнера и администрации, чтобы создать обучение с хорошей теоретической и практической базой. Большинство слушателей — уже работающие специалисты, знания и навыки они смогут применять здесь и сейчас.

Подробнее
11:41 16-04-2026
В новом выпуске «Александровского бульвара» — разговор с профессором ТГУ Вячеславом Сухановым ✨

Вячеслав Суханов — доктор филологических наук, профессор, заведующий кафедрой истории русской литературы XX—XXI веков и литературного творчества ФилФ ТГУ, автор 11 монографий и более 100 работ.

За 40 лет в ТГУ он прошел путь от студента до заведующего кафедрой, от первых опытов в литературном объединении до докторской диссертации и многолетнего исследования творчества одного из самых глубоких русских прозаиков XX века — Юрия Трифонова.

Мы поговорили о выборе пути, чувстве долга и благодарности тем, кто был до тебя, о методе, который требует не просто читать текст, а проживать его, и о главном завете, который профессор адресует сегодняшним первокурсникам.

Смотреть новый выпуск
11:40 16-04-2026
Пост удален
11:40 16-04-2026
Пост удален
11:01 16-04-2026
Белочка тоже ловит вайбы джаза 🎷

И приглашает вас присоединиться к грандиозному событию — международному музыкальному фестивалю «Линия джаза: музыка и наука»🎶

Живой диалог музыки и науки в Томском госуниверситете ⬇️

24 апреля «От спиричуэлс, регтайма до современного джаза»
26 апреля «Встреча поколений в джазе»
27 апреля «Новая генерация джаза»
28 апреля «Легенды блюза»
29 апреля «Джаз-калейдоскоп»

Билеты можно приобрести:

• здесь
• и здесь
• и еще в кассе Центра культуры ТГУ

❤️ — составлю компанию белочке
09:54 16-04-2026
Всероссийский лекторий Российского научного фонда

С 20 по 24 апреля в Абитуриент.Центре ТГУ шесть грантополучателей РНФ — филологи, математики, экономисты, юристы — выступят с открытыми лекциями о своих исследованиях.

Приглашаем познакомиться с исследованиями ведущих учёных и узнать больше о карьерных траекториях в науке.

Регистрация

Подробнее
09:53 16-04-2026
Пост удален
08:43 16-04-2026
Университет возможностей 💙

В этой рубрике кратко рассказываем о предстоящих проектах, мероприятиях, конкурсах и стажировках для студентов и абитуриентов 🙌🏻

🌟до 20 апреля прием заявок на Студенческую научную конференцию| Подробнее

🌟до 24 апреля прием заявок на межрегиональную программу «Территория коммуникаций» | Подробнее

🌟до 24 апреля прием заявок на проект «Амбассадоры Студтуризма» | Подробнее

🌟до 30 апреля открыт приём заявок на чемпионат ArtMasters для творческих студентов | Подробнее
08:07 16-04-2026
Очередной повод для гордости 💙

Студенты ФИТ ТГУ приняли участие в V Сибирском форуме производительности труда — и сразу с блестящим результатом!

В рамках форума прошёл «Студенческий день бережливости. Учимся быть эффективными», а также региональный конкурс студенческих команд «Бережливый студент».

🏆 Ребята заняли 1 место

Имена победителей:
· Михаил Александров
· Алишер Убайдуллаев
· Артем Михайлов
· Андрей Семенов
· Александр Ткаченко
· Анита Плучевская
· Варвара Келлер
· Айбек Мавлянкул уулу
· Карина Кузлина
· Валерия Трефилова

Поздравляем и желаем дальнейших успехов!
Накидаем🔥?
13:41 15-04-2026
Льдины плывут, весна идёт. А мы смотрим и не можем оторваться 💙

Больше фото — в нашем ВК ⬅️
12:47 15-04-2026
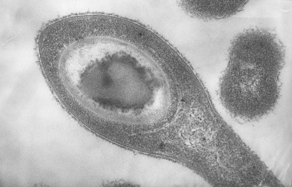
Бактерия, которая застыла во времени 🤓

Ученые ТГУ при поддержке РНФ обнаружили вид бактерий, которая не менялась 300 млн лет. Ранее «застывшая» во времени бактерия была найдена в глубоких недрах Земли и «прославилась» тем, что способна жить в условиях, близких к марсианским. А в подземных водах Западной Сибири ученые обнаружили её «родственника». Новый род получил название Desulfosceptrum tomskiensis в честь Томской области.

Заведующая кафедрой физиологии растений, биотехнологий и биоинформатики БИ ТГУ Ольга Карначук:

— Геном бактерии не менялся со времен Пангеи – суперконтинента, существовавшего около 335–175 миллионов лет назад. Это противоречит нашим представлениям о Дарвиновской эволюции, предполагающей, что в организмах накапливаются изменения, которые позволяют им лучше приспособиться к условиям окружающей среды.

Подробнее
12:22 15-04-2026
Центр культуры ТГУ сегодня вечером превратится в уголок Китая — с музыкой, танцами и той самой атмосферой, от которой захватывает дух 🇨🇳✨

Мы приглашаем вас на большой концерт китайской культуры. Это уникальная возможность познакомиться с традициями одной из древнейших цивилизаций мира, не выезжая из Томска.

📅 сегодня в 18:30
📍 Концертный зал ЦК ТГУ
🎟 Вход свободный

Приходите сами и приводите друзей. Будет очень интересно 💛
07:41 15-04-2026
Что общего между джазменом и учёным? Больше чем, вы думаете 😉

Музыка и наука говорят на одном языке — языке импровизации, эксперимента и командной работы.

А проверить это вживую вы сможете на международном музыкальном фестивале «Линия джаза: музыка и наука», который пройдет в ТГУ🎷

С анонсами концертов знакомьтесь в карточках ⬆️

А билеты уже ждут вас:

🎵 здесь

🎵 и здесь

🎵 и еще в кассе ЦК ТГУ
06:35 15-04-2026
В ТГУ прошел вузовский этап Всероссийского конкурса «Студенческий лидер» 💙

Участники конкурса продемонстрировали свои лидерские качества, прокачали навыки самопрезентации и решали реальные управленческие кейсы из жизни студента.

Победителями стали:

Старший дивизион:
🥇 место — Ульяна Русакова
🥈 место — Анастасия Мясникова
🥉 место — Ольга Селиванова
Средний дивизион:
🥇 место — Олеся Лыжина
🥈 место — Лилия Астапенко
🥉 место — Александр Ероцкий
Младший дивизион:
🥇 место — Анна Сумишевская
🥈 место — Кристина Агуленко
🥉 место — Софья Евменова

Лучшие из лучших совсем скоро отправятся на региональный этап конкурса: Ульяна Русакова , Анастасия Мясникова и Сабина Маратова

Поздравляем и желаем дальнейших успехов!
Накидаем огоньков? 🔥
06:34 15-04-2026
Пост удален
14:17 14-04-2026
Зима 2025-2026 года выдалась в России по-настоящему снежной, побив многие рекорды по количеству осадков ❄

Это неизбежно ставит перед многими регионами страны сложные задачи: приближение весны означает не только пробуждение природы, но и риски, связанные с ледоходом и половодьем.

Эксперты ТГУ рассказали о причинах ледовых заторов и рисках большого половодья

Среди экспертов:
• Заведующий кафедрой гидрологии ГГФ ТГУ Дмитрий Вершинин
• Заведующий кафедрой географии ГГФ ТГУ Вадим Хромых
• Профессор кафедры климатологии и метеорологии ГГФ ТГУ Валентина Горбатенко
• Главный маркшейдер ООО «Спецгеострой» Дмитрий Замараев

Смотреть запись трансляции
07:35 14-04-2026
ТГУ представил в Минобрнауки РФ проект УГС «Гуманитарные науки и языки» 🎓

Формирование УГС проводилось с участием Союза переводчиков России, Российского исторического общества, Российской академии наук, представителей соответствующих ФУМО.

Экспертное мнение по УГС «Гуманитарные науки и языки» представила проректор ТГУ по информационной политике и цифровым коммуникациям Юлия Эмер.

Министр науки и образования РФ Валерий Фальков:

— Мы уже заслушали шесть групп и видим, что их участники способны договариваться между собой. Кроме того, на работу по обновлению перечня специальностей есть запрос со стороны работодателя. Ну, и важно: эта работа будет продолжаться, пока мы не удостоверимся, что выслушали и понимаем аргументы, именно аргументы всех участников процесса.

Подробнее
07:06 14-04-2026
Почему весной на реках РФ возникают ледовые заторы? 🧊

Сегодня гидрологи, метеорологи и географы ТГУ в прямом эфире расскажут:

• почему было так много снега?
• какие факторы влияют на особенности ледохода и паводка?
• можно ли снизить риски подтопления территорий?
• как ТГУ использует цифровые технологии, чтобы обезопасить население региона?

🔴 Смотреть эфир 14 апреля в 16:00 по ссылке

Фото: Деревня Черная Речка, апрель 2026

Подробнее
07:02 14-04-2026
События недели в ТГУ 💙

13-16 апреля
17:00 → фестиваль финансовой грамотности в НБ ТГУ | Подробности

14 апреля
16:00 → Ученый стендап | Подробности

15 апреля
15:00 → лекция «Томская область в эпоху палеолита» | Подробности

16-18 апреля
12:30 → ФилФ ТГУ проводит традиционную Международную научно-практическую конференцию «Актуальные проблемы лингвистики и литературоведения» | Подробности

19 апреля
11:00 → форум онкологических пациентов, организованный при участии ФП ТГУ | Подробности
13:18 13-04-2026
Вы сотни раз проходили мимо стен Главного корпуса ТГУ. Но задумывались ли вы, сколько тайн хранят его стены?

Главный корпус спроектировал академик Александр Бруни, а построен он по проекту Павла Нарановича. Строгий классицизм, величественные колонны, идеальные пропорции — стиль, который не стареет.

Строительство шло с 1880 по 1885 год. А в 1888 году здесь торжественно открылся Императорский Томский университет 🏫

Больше фото — смотрите в нашем ВК ⬅️
12:50 13-04-2026
13 апреля — День мецената и благотворителя

Праздник приурочен ко дню рождения римского аристократа Гая Цильния Мецената — его имя уже две тысячи лет остаётся символом бескорыстной поддержки культуры и науки. Желание помогать не угасло, просто сегодня оно всё чаще воплощается в новых инструментах — например, в целевых капиталах Эндаумент-фонда. А мы напоминаем, что без меценатов XIX столетия не было бы и нашего университета.

Именно жертвователи сделали возможным строительство университета в Томске. Именно благодаря им — ученым, купцам, чиновникам — были куплены пособия, обустроены кабинеты и лаборатории.

▪️ Павел Демидов — ученый-натуралист и действительный статский советник, пожертвовал значительную сумму денег
▪️ Александр Сибиряков — сибирский предприниматель, золотопромышленник, внёс 160 000 рублей
▪️ Захарий Цыбульский — томский золотопромышленник и городской голова, пожертвовал 140 000 рублей на нужды университета (огромная сумма по тем временам)
▪️ Александр Строганов — граф, передал Университету огромную библиотеку "во благо духовного покорения Сибири"

Стать современным меценатом может каждый!
Эндаумент-фонд принимает любые суммы. Даже 100₽ — это вклад в стипендии, науку и будущее нашего университета.
12:05 13-04-2026
Пост удален
08:44 13-04-2026
Ледоход — безумно красивое природное явление. Понаблюдать за мощью реки можно не выходя из дома.

На крыше СЖК «Парус» установлена веб-камера, и вы можете онлайн посмотреть на ледоход: ведь с высоты «Паруса» открывается панорамный вид на левый берег🌊

Просто переходите по ссылке.

Будете смотреть на ледоход?

❤️ — буду
06:07 13-04-2026
Дайджест ключевых событий недели НЮИ(ф)ТГУ:

💙 Участие студентов института в церемонии открытия V сезона всероссийского марафона «Сила России». | Подробности

💙 В стенах НЮИ(ф)ТГУ прошёл профориентационный квест по криминалистике для учащихся седьмых классов.
| Подробности

💙 Учебная практика первокурсников в Следственный комитет РФ по Новосибирской области.
| Подробности

💙 Завершение обучения школьников в «Академии молодого юриста» и вручение сертификатов выпускникам.
| Подробности
06:03 13-04-2026
ТГУ вновь лидер по числу премий Областной думы для молодых ученых ❤

ТГУ принял талантливых школьников и студентов Томска — соискателей премии Законодательной Думы Томской области для молодых ученых и молодых дарований 2025 года.

В ЦК ТГУ были организованы профориентационные площадки вузов Томска, а на торжественной церемонии наградили 41 победителя конкурса. Среди них — 8 представителей ТГУ.

Ректор ТГУ Эдуард Галажинский:

— Мы стараемся сформировать полное представление о научном потенциале нашего региона, потому что здесь та среда, которая создает основу для профессионального и жизненного успеха. Традиционно 30-40% поступивших — томские абитуриенты, и наша задача сохранить сильных и талантливых ребят в Томске. Как говорил Эйнштейн, не важно достичь успеха, а важно найти смысл жизни. И это можно сделать у нас, в Томске.

Подробнее
06:56 12-04-2026
Вы знаете, какой сегодня день. Знаете, кто такой Юрий Гагарин и с какой фразы 65 лет назад началась космическая эра.

Его дорогу в космос проложил выпускник ТГУ Виталий Федорович Проскурин. Именно он рассчитал траекторию полета космического корабля «Восток» с первым человеком на борту.

С Днём космонавтики, друзья!
09:38 11-04-2026
В космосе нет гравитации. Но есть кое-что другое — сила притяжения Университета, которая удерживает таланты, традиции и мечты 💫

Ко Дню космонавтики мы подготовили несколько открыток. Переходите в наш ВК
11:30 10-04-2026
А что по науке? #Научныйобзор 🧑‍💻

Каждую неделю мы собираем для вас сводку новостей науки в ТГУ 🏫

Что интересного на этой неделе?

• Проекты сотрудников ТГУ поддержаны фондом Владимира Потанина | читать
• Студентка ВИША выиграла в Тимирязевском конкурсе проектов для АПК | читать
• Ректор ТГУ представил в Госдуме итоги работы над новой моделью образования | читать
• Поддержка ЦОПП ТГУ поможет вузам привлечь абитуриентов на целевые места | читать
• Ученые ТГУ разрабатывают комплекс раннего обнаружения БАС | читать
• ТГУ и НИИСИ создают ключевые элементы российской микроэлектроники | читать
• Экономисты ТГУ изучают новые формы занятости в эпоху цифровизации | читать
• Студентка ВИША ТГУ — призер кейс-чемпионата «ЮБИО» по биотехнологиям | читать
• ФИЯ ТГУ готовит универсальных лингвистов и развивает международные программы| читать
• Почвоведы ТГУ обнаружили «горячие углеродные точки» в сибирской Арктике | читать
• ТГУ готов обучить 20000 сотрудников предприятий РФ в проекте по занятости | читать
• В ежегодной Ярмарке вакансий на ХФ ТГУ участвовали 19 организаций | читать
• Накануне Дня космонавтики в ТГУ установили телескоп Галилео Галилея | читать
11:29 10-04-2026
Космос ближе, чем тебе кажется 🌌

Как работают GPS и ГЛОНАСС? Что происходит с космическим мусором и стоит ли бояться астероидов? Разбираемся с экспертами кафедры астрономии и космической геодезии ТГУ.

Приглашаем на космический лекторий в ТГУ! Всё, что вам нужно, — включить трансляцию и быть ближе к звёздам, не выходя из дома 💫

10 апреля в 18:30 «Заблудиться невозможно»
О том, как работает навигация, как сигнал из космоса превращается в удобные карты и помогают управлять городами.
спикер: Дмитрий Капарулин, заведующий Обсерваторией ТГУ.

17 апреля в 18:30 «Зачем Вселенную записывают на жесткий диск?»
О Big Data в современной астрономии и задачах, которые решают цифровые астрономы для будущего космической отрасли.
спикер: Татьяна Галушина, профессор кафедры астрономии и космической геодезии и заведующая Лабораторией компьютерного моделирования и машинного анализа астрономических данных.

24 апреля в 18:30 «Как астрономия искусственный интеллект обучила»
Как задачи о движении планет и обработка космических сигналов привели к созданию метода, который сегодня лежит в основе обучения нейросетей.
спикер: Дмитрий Красавин, программист, выпускник кафедры астрономии и космической геодезии ТГУ.

Онлайн-трансляцию смотрите здесь ⬅️

В рамках лектория «О физике с любовью»
08:48 10-04-2026
Накануне Дня космонавтики в ТГУ установили телескоп Галилео Галилея 🌜

Он является репликой устройства, которое в ХVII веке изготовил Галилео Галилей для наблюдения за звездами. Проект реализован школьниками – участниками Сетевой олимпиадной школы физики, математики и астрономии ТГУ при поддержке сотрудников ФФ, РФФ и физического кабинета ТГУ.

Доцент ФФ ТГУ Дмитрий Капарулин:

— Идея проекта возникла весной 2023 года в ходе «Ночи в музее» в ТГУ. Тогда наш Музей истории физики разместил на своей площадке старинный телескоп фирмы Швабе, выпущенный в начале ХХ века. Качество изображения старинного телескопа оказалось настолько хорошим, что этот опыт захотелось повторить. Так как музейный экспонат не приспособлен для регулярного использования, было решено сделать реплику старинного телескопа.

Подробнее
08:44 10-04-2026
Пост удален
07:38 10-04-2026
ТГУ – в топ-10 Национального агрегированного рейтинга вузов России 2026

В методологии рейтинга учитывается:
• востребованность выпускников по данным Рособрнадзора и Соцфонда РФ
• рейтинг интересов абитуриентов, основанный на отзывах студентов и анализе студенческих настроений
• рейтинг эффективности коммуникаций агентства Brand Analytics

Подробнее
07:37 10-04-2026
Пост удален
14:17 09-04-2026
Радость, гордость и волнение...😃

Лаурет Премии Законодательной Думы Томской области Ирина Горячева делится впечатлениями после победы
13:58 09-04-2026
Уехать нельзя, остаться. Что может дать Томск молодым дарованиям?

Отвечает ректор ТГУ Эдуард Галажинский
👍 3
13:58 09-04-2026
Сегодня в ТГУ проходит чествование победителей 23-го конкурса на соискание звание «Лауреат Премии Законодательной Думы Томской области» для молодых ученых и молодых дарований»

К победителям с приветственным словом обратилась председатель Законодательной Думы Томской области Оксана Козловская
👍 2
13:56 09-04-2026
Пост удален
11:00 09-04-2026
⚠️ Внимание, студенты: новая схема мошенников

Сейчас неизвестные звонят нашим студентам, представляются сотрудниками Главного корпуса и говорят примерно следующее:

→ «Вам нужно прийти в кабинет №... подписать документы»
→ «А сейчас назовите код из смс для подтверждения»

📌 Это мошенники. Сотрудники университета никогда не просят код из смс. Никогда.

Что делать:

• Не называйте код.
• Положите трубку.

Если сомневаетесь — перезвоните в свой деканат и уточните, вызывали ли вас.
‼️Управление безопасности ТГУ запустило круглосуточную телефонную линию, куда можно сообщить о возможном мошенничестве. Не стесняйтесь звонить и уточнять.

Телефон службы 785-236 (работает 24/7)

Перешлите это сообщение в чаты общежитий и учебных групп — пусть как можно больше ребят будут в курсе.

Берегите себя и свои данные. ❤️
👍 10
09:54 09-04-2026
На региональной Студвесне ТГУ занял 1 место в «Творческой программе» 🫶

Студенты представили программу в формате подкаста: зрители пытались понять, как устроен человеческий мозг, как рождаются мысли, чувства и реакции.

Результаты ТГУ
• Творческая программа — 1 место
• Общекомандный зачет — 2 место

Вокальное направление:
• Никита Александров (авторская песня) — 1 место
• Дарья Соловьева (фронтовая песня) — 1 место
• Екатерина Стрельцова и Анна Скачилова (академическое пение) — 1 место
• Софья Кадычагова (авторская песня) — 2 место
• Екатерина Плотникова (эстрадное пение) — 3 место

Танцевальное направление:
• Танцевальная команда TSUnami (уличный танец большие составы) — 1 место
• Театр танца «Пролог» (современный танец большие составы) — 1 место
• Карина Иноземцева (уличный танец соло) — 2 место

Инструментальное направление:
Дарья Ли и Марат Бачаев (смешанные ансамбли) — 1 место
Сабрина Крачнакова (струнные инструменты) — 1 место

Театральное направление:
Илья Анучин (художественное слово: проза) — 1 место
Театр танца «Пролог» (театр малых форм: пластический театр) — спецприз

Оригинальный жанр:
ТТО «МЫ» (оригинальный номер большие составы) — 1 место

Арт. Графический дизайн. Брендинг. Индивидуальная номинация:
Ни Екатерина Леонидовна — 1 место

Медиа:
Алан Федотов (художественная фотография) — 2 место
Эльвира Трушина (фотопроект: фоторепортаж) — 3 место

Видео:
Мария Коцаренко и Никита Зотов (рекламный ролик) — 2 место

Поздравляем и желаем дальнейших успехов! 💙
Накидаем огоньков? 🔥

Подробнее
🔥 16
09:54 09-04-2026
Пост удален
09:39 09-04-2026
Университет возможностей 🏫

В этой рубрике кратко рассказываем о предстоящих проектах, мероприятиях, конкурсах и стажировках для студентов и абитуриентов 🙌🏻

🌟с 10 апреля конкурс на стипендию имени профессора В.А.Гаги| Подробнее

🌟до 13 апреля возможность попасть в команду компании Wildberries & Russ| Подробнее

🌟с 13 по 16 апреля фестиваль финансовой грамотности | Подробнее

🌟 до 15 апреля приём заявок на конкурс Росмолодёжь.Гранты 1 сезон в рамках нацпроекта «Молодёжь и дети»| Подробнее
❤️ 3
09:12 09-04-2026
В двух мирах, но с одним сердцем ❤

Продолжаем нашу рубрику #Мама_в_Науке_ТГУ. В новом выпуске — Ирина Шведова, директор Института Конфуция.

Подробнее в нашем ВК-посте
🔥 10👏 3
07:36 09-04-2026
Пост удален